当前位置:首页 > 医护PPT > 正文内容

颈椎病的解剖及分型治疗PPT

www.yy55pp.com12个月前 (11-26)医护PPT161

颈椎病的解剖及分型治疗PPT

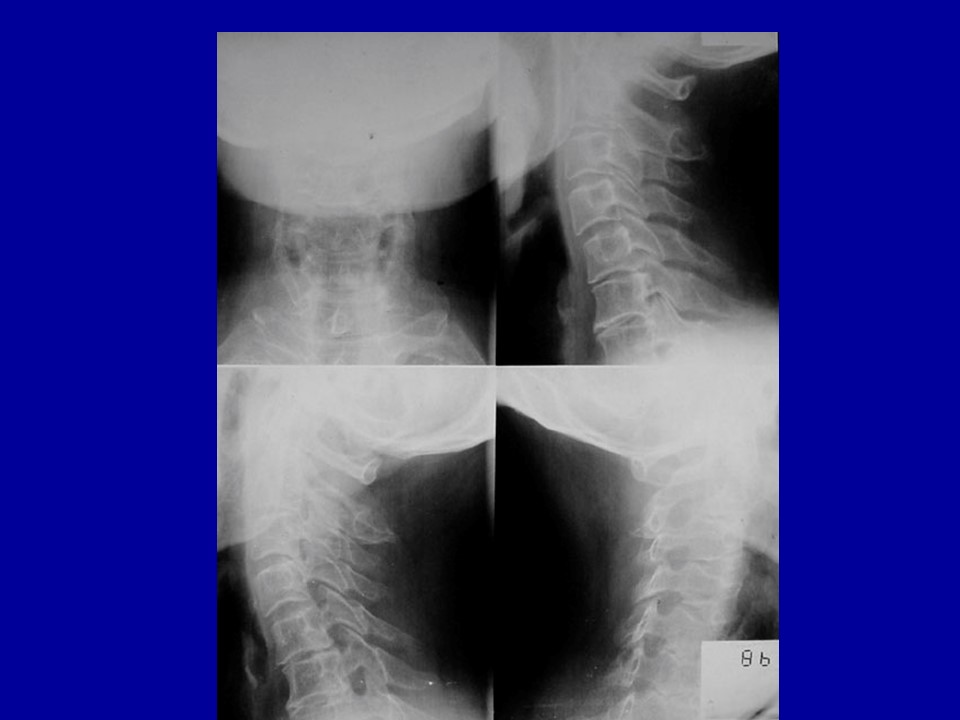
(一)颈部的关节:

头颅和第一胸椎之间,有7个椎骨,6个椎间盘 及所属的韧带构成。

枕骨和寰椎之间有2个关节,寰椎和枢椎之间有3个关节,而枢椎以下的两个椎骨之间有5个关节。

枕骨与枢椎之间虽仅有5个关节,但其间的运动幅度很大,约占颈部运动的一半。 


扫描二维码推送至手机访问。

版权声明:本文由医护PPT网发布,如需转载请注明出处。

本文链接:http://yy55pp.com/post/1137.html

分享给朋友:

“颈椎病的解剖及分型治疗PPT” 的相关文章

术中低体温的预防与护理

术中低体温的预防与护理

术中低体温的预防与护理生命体征是体温、脉搏、呼吸、血压的总称,是机体内在活动的客观反映,是衡量机体状况的指标,也是护士评估患者身心状态的基本资料。人体通过体温调节系统使产热和散热保持动态平衡,从而维持中心体温在37度。人体的温度是相对恒定的,正常人在24小时内体温略有波动。一般相差不超过1度,生理状...

神经外科手术技巧PPT

神经外科手术技巧PPT

神经外科手术技巧PPT原则  手术部位位于最高点、 最易显露  略高于心脏水平   额、额颞、颞、颞顶枕、枕、小脑蚓部、小脑半球、CPA、椎管 ...

手术室护理实践指南解读外科手消毒

手术室护理实践指南解读外科手消毒

手术室护理实践指南解读外科手消毒据统计,我国医院感染率平均大约为4%~8%,其中由医务人员的手传播细菌而造成的医院感染约占30%。手卫生是控制医院感染的最基础环节,对控制医院感染具有举足轻重的意义。...

手术室急危重患者的抢救与配合

手术室急危重患者的抢救与配合

手术室急危重患者的抢救与配合      手术室是外科手术治疗的一个重要科室,手术室工作的护理实施直接影响到手术病人的医疗保健水准 ;医院手术室在医院临床医疗及抢救过程中具有特殊的重要作用,因此手术室护士的急救意识在急救过程中就显得尤为重要。 ...

糖尿病运动治疗PPT

糖尿病运动治疗PPT

糖尿病运动治疗PPT运动在Ⅱ型糖尿病的管理中占有重要的地位和意义。坚持有规律的运动是控制糖尿病的基本措施。糖尿病病人如果能坚持规律的运动12~14年,可以显著降低死亡率。运动总原则:    因人而异,量力而为,循序渐进,持之以恒。...

外科急腹症的诊断与鉴别诊断

外科急腹症的诊断与鉴别诊断

外科急腹症的诊断与鉴别诊断据统计,腹痛就诊约占急诊人数的1/3~1/4;20%许许多多的原因导致腹痛,涉及内外妇儿多学科;起病急、发展快,如宫外孕破裂、腹主动脉夹层撕裂、胆道中毒性休克等等;引起急性腹痛的病种繁多,腹腔内各脏器紧密比邻,临床表现复杂、多变再加上不同的病人对疾病的反应和耐受情况不一致,...