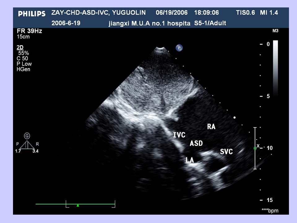
“房间隔缺损PPT” 的相关文章
儿科氧气疗法PPT
儿科氧气疗法PPT氧是维持人类生命所必需的物质,但人体内氧的贮备极少。人体代谢所需的氧靠呼吸器官不断地从空气中摄取,并借助循环系统和血液系统的功能运往全身的器官和组织。故缺氧可导致体内的代谢异常和生理功能紊乱,严重者可致使重要的脏器组织损伤和功能障碍,甚至危及生命。...
手术室压疮预防与管理
手术室压疮预防与管理手术室压疮 手术室压疮(pressure ulcer in operation room)目前认为在术后数小时至6d内发生的压疮 大多发生在术后(1~3d)[2]。...
病毒性肝炎的基本治疗药物PPT
病毒性肝炎的基本治疗药物PPT传染病发病数居前五位的病种: 肺结核、乙型肝炎、痢疾、淋病、甲型肝炎死亡数居前五位的病种: 狂犬病、肺结核、乙型肝炎、艾滋病、新生儿破伤风占死亡总数的82.56%...
磁共振检查注意事项PPT
磁共振检查注意事项PPT 磁共振设备相当于一巨大磁体,对铁磁性物质有很强的吸附力...
多发性骨髓瘤的发病与治疗概况PPT
多发性骨髓瘤的发病与治疗概况PPT多发性骨髓瘤发病概况多发性骨髓瘤的诊断多发性骨髓瘤分期及预后因素多发性骨髓瘤病理生理学特点多发性骨髓瘤的治疗多发性骨髓瘤临床治疗效果...
儿科常用穿刺PPT
儿科常用穿刺PPT[适应证]了解脑脊液成分和压力,进行诊断及鉴别诊断。区别阻塞性与非阻塞性脊髓病变。气脑造影和脊髓蛛网膜下腔碘油造影。鞘内给药。对蛛网膜下腔出血患者释放血性脑脊液减轻症状。...
