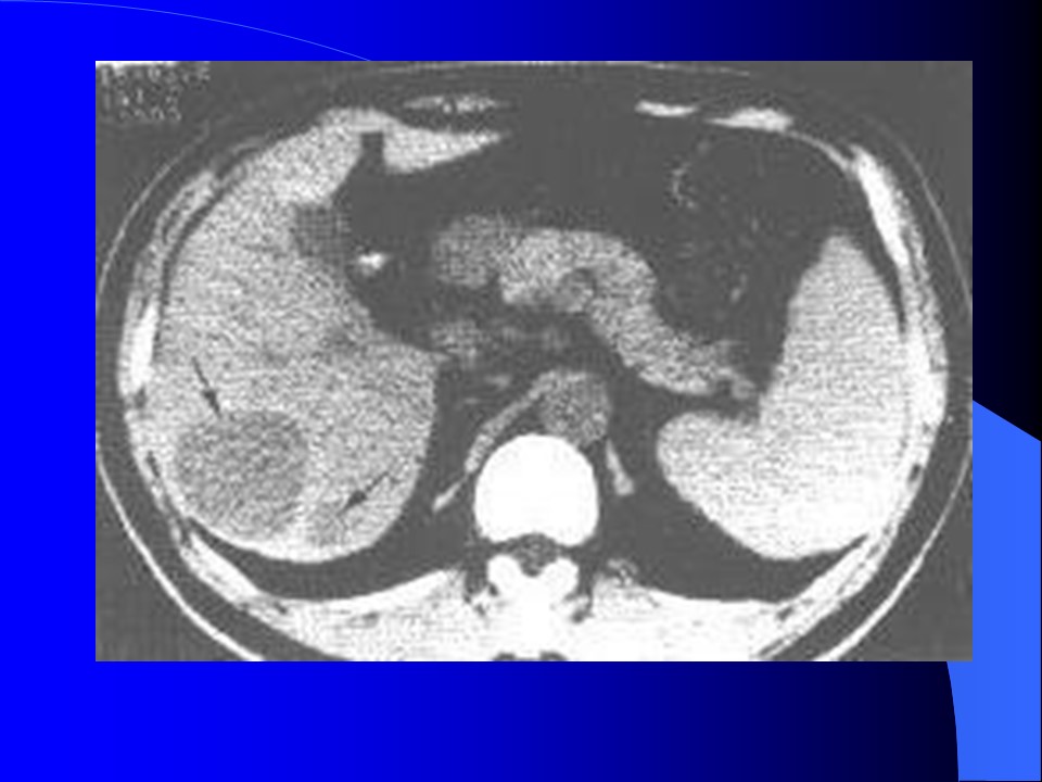
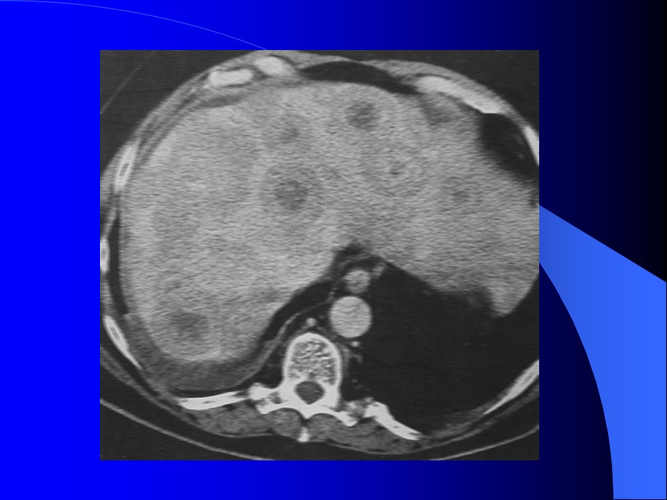
“肝脏常见病CT表现PPT” 的相关文章
产科常见急症处理PPT
产科常见急症处理PPT 从临产到完成分娩,只要少于3小时就称为急产。 医学上对急产的界定则为:初产妇,每小时子宫颈扩张的速度>5cm;经产妇,每小时子宫颈扩张...
儿童慢性湿性咳嗽诊断与治疗PPT
儿童慢性湿性咳嗽诊断与治疗PPT咳嗽的利弊咳嗽是气道重要的防御反射。咳嗽能产生强大的呼气气流,对清除气道黏液和异物是有益的。 但是剧烈咳嗽所形成的胸腔内压可高达300 mmHg,呼气流速达500码/小时(音速的85%)和腹内压增加,可导致心血管、神经、胃肠道、泌尿生殖、骨骼肌和呼吸系统的...
如何当好一名护理带教老师PPT
如何当好一名护理带教老师PPT 临床实习是护生理论联系实际,变知识为技能的必须过程,是护士教育的一个非常重要的环节,是她们踏上工作岗位前最直观最有效的学习阶段,从理论走向实际,从课堂走向病房,从学校走向社会的关键环节和实现理论知识转化为工作能力不可缺少的过程,所...
手术室护士职业危害与防护PPT
手术室护士职业危害与防护PPT护理职业防护:在护理工作中采取多种有效措施,保护护士免受职业损伤因素的侵袭,或将其所受伤害降到最低。标准预防:认定病人的血液、体液、分泌物、排泄物均具有传染性,需进行隔离,不论是否有明显的血迹污染或是否接触非完整的皮肤与粘膜,接触上述物质者必须采取防护措施。针刺伤:指一...
手术室实习生教学培训
手术室实习生教学培训 洁净手术部工程是由多学科、多系统、多功能组成的系统工程。改变了多年来手术室内空气消毒的方法,代之以初效、中效、高效过滤器的物理净化方式,使手术间内压力、温度、湿度、风速得到有效控制。不同净化等级手术室,采用智能控制,使手术室空气质量得到了极大改善,...
手术体位
手术体位理解手术体位的基础概念了解手术体位相关的名词术语明确手术体位安置原则掌握常见手术体位的摆放方法及注意事项...
