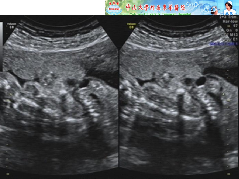
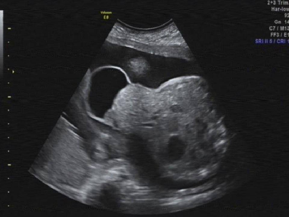
“胎儿前腹壁畸形超声诊断PPT” 的相关文章
儿科氧气疗法PPT
儿科氧气疗法PPT氧是维持人类生命所必需的物质,但人体内氧的贮备极少。人体代谢所需的氧靠呼吸器官不断地从空气中摄取,并借助循环系统和血液系统的功能运往全身的器官和组织。故缺氧可导致体内的代谢异常和生理功能紊乱,严重者可致使重要的脏器组织损伤和功能障碍,甚至危及生命。...
胶质瘤规范化治疗及护理PPT
胶质瘤规范化治疗及护理PPT胶质瘤的相关知识胶质瘤的规范化治疗胶质瘤规范化治疗的护理...
泌尿外科腹腔镜手术配合
泌尿外科腹腔镜手术配合腹腔镜在泌尿外科手术应用近20余年来取得了很大的进展。就开展手术的范围而言,现已涉及到泌尿及男性生殖外科的方方面面。由于腹腔镜手术不仅具有损伤小、术后恢复快、手术野外表美观和住院时间短等优点,并使得远程手术成为可能,代表了外科手术的发展方向,因此随着手术器械的发展和手术操作技能...
妊娠期贫血的诊断及治疗PPT
妊娠期贫血的诊断及治疗PPT贫血是妊娠期较常见的合并症。妊娠期血容量增加,血浆增加多于红细胞增加,血液呈稀释状态,又称“生理性贫血”。...
手术室护理实践指南手术物品清点
手术室护理实践指南手术物品清点2.1手术清点物品手术清点物品包括手术敷料、手术器械、手术特殊物品。2.2手术敷料手术敷料指用于吸收液体、保护组织、压迫止血或牵引组织的纺织物品。包括纱布、纱垫、纱条、宫纱、消毒垫、脑棉片、棉签等。2.3手术器械手术器械指用于执行切割、剥离、抓取、牵拉、缝合等特定功能的...
手术室全期护理
手术室全期护理 手术是临床外科系统治疗疾病的一种重要手段,手术室围手术期护理工作包括从病人决定手术入院、接受手术以及麻醉苏醒后直至病人出院的全过程。手术室护理工作不仅仅局限在手术室内,它延伸到手术前后的护理。在此期间,护...
