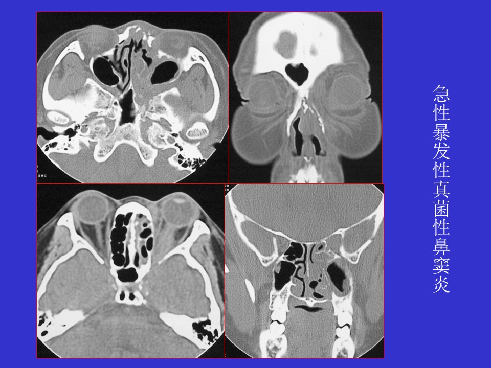
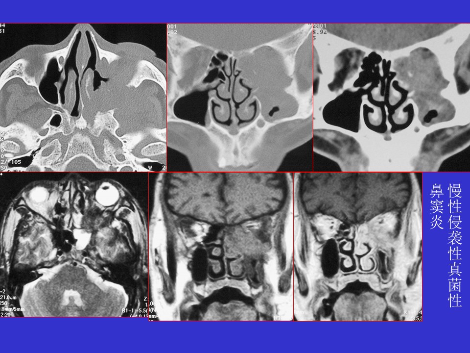
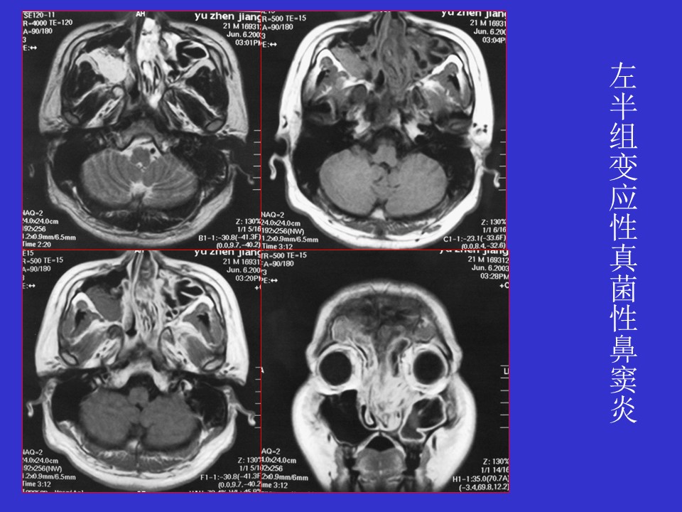
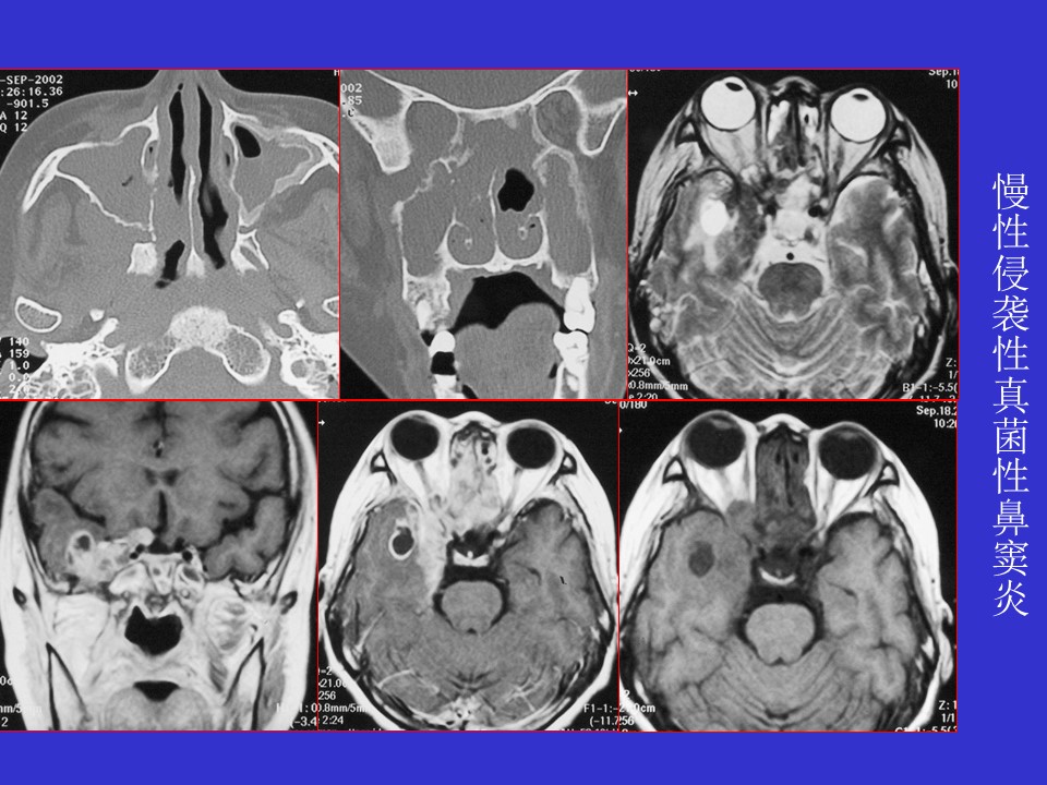
“真菌性鼻窦炎影像学诊断PPT” 的相关文章
产科重症感染PPT
产科重症感染PPT产科感染的分类病因及发病机制病理生理临床表现辅助检查诊断治疗原则...
耳穴压豆治疗项目培训PPT
耳穴压豆治疗项目培训PPT 历史渊源 《阴阳十一脉灸经》、《足臂十一脉灸经》中,就有关于和上肢、眼、咽喉相联系的“耳脉”的记载。《灵枢·口问篇》云“耳者,宗脉之所聚也”,清代汪宏氏著《望诊遵经》中,专有“望耳诊病法纲”讨论耳廓望诊。...
弱视的诊断与处理PPT
弱视的诊断与处理PPT新生儿:出生到1星期0.01-0.02;1个月0.05-0.12个月:有辐辏反应3个月:大多可平稳“跟随”,固视4个月:开始建立立体视3-4个月:调节已发育良好1岁:0.1-0.32-3岁:0.5,3岁时立体视建立基本完成4-5岁:0.6 5-6岁:0.8...
术中病理标本流程管理
术中病理标本流程管理⼿术病理标本管理是⼿术室管理⼯作中既重要⼜容易忽视的环节。...
糖尿病的药物治疗PPT
糖尿病的药物治疗PPT糖尿病的饮食治疗糖尿病的运动治疗糖尿病的药物治疗糖尿病的自我监测糖尿病的宣传教育...
痛风患者持续达标治疗与饮食PPT
痛风患者持续达标治疗与饮食PPT痛风主要是由于高尿酸血症引起尿酸盐结晶沉积所导致的炎症性疾病。临床上最常见的痛风性关节炎。初期为急性发作,表现为红肿、灼热、稍加触碰即会引起剧烈疼痛,有些患者会出现全身的症状,像发热、头痛、寒战等。...
