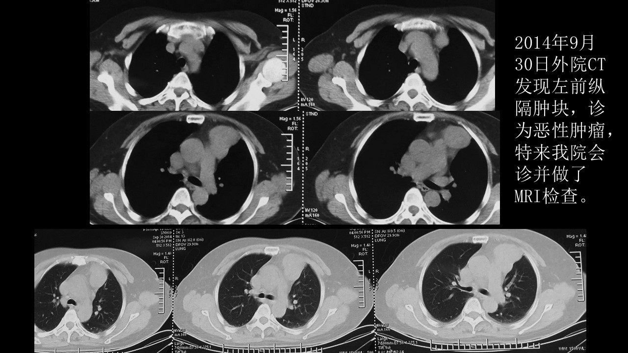
“肺结节指南与临床实践,影像与诊断PPT” 的相关文章
创伤急救包扎术PPT
创伤急救包扎术PPT1、保护伤口;2、减少污染;3、压迫止血;4、固定骨折、关节、敷料;5、减轻伤者疼痛。...
龋病PPT
龋病PPT龋病即龋齿,俗称蛀牙,是细菌性疾病,可以继发牙髓炎和根尖周炎,甚至能引起牙槽骨和颌骨炎,其发展的最终结果是牙齿丧失。它是口腔主要的常见病,也是人类最普遍的疾病之一,世界卫生组织已将其与肿瘤和心血管疾病并列为人类三大重点防治疾病。...
手术病人交接流程
手术病人交接流程 患者手术前后的交接时间虽然很短,但仍然会出现各种意外情况和危险因素,手术患者护理质量的高低直接关系到患者的生命和安危。认真遵守交接流程是保障护理安全的关键,而交接流程的安全、规范是医院护理安全中不可分割的一部份,病房护士、手术室护...
手术室护理实践指南解读外科手消毒
手术室护理实践指南解读外科手消毒据统计,我国医院感染率平均大约为4%~8%,其中由医务人员的手传播细菌而造成的医院感染约占30%。手卫生是控制医院感染的最基础环节,对控制医院感染具有举足轻重的意义。...
小学生爱眼护眼知识讲座PPT
小学生爱眼护眼知识讲座PPT眼睛的构造: 眼睛近似球形,位于眼眶内,通常我们看到的只是眼球的一面。 眼球周围有一些保护:如眼睑、睫毛、眉毛、一些软组织等等。...
新生儿黄疸
新生儿黄疸 缺氧使胎儿RBC生成多,75%胆红素来源于破坏的红细胞,8.8mg/dl,成人3.8mg/dl 新生儿RBC寿命短,80天,早产儿60-70天无效造血...
