当前位置:首页 > 医护PPT > 正文内容

常见妇科急腹症的超声诊断PPT

www.yy55pp.com1年前 (2024-11-11)医护PPT388

常见妇科急腹症的超声诊断PPT

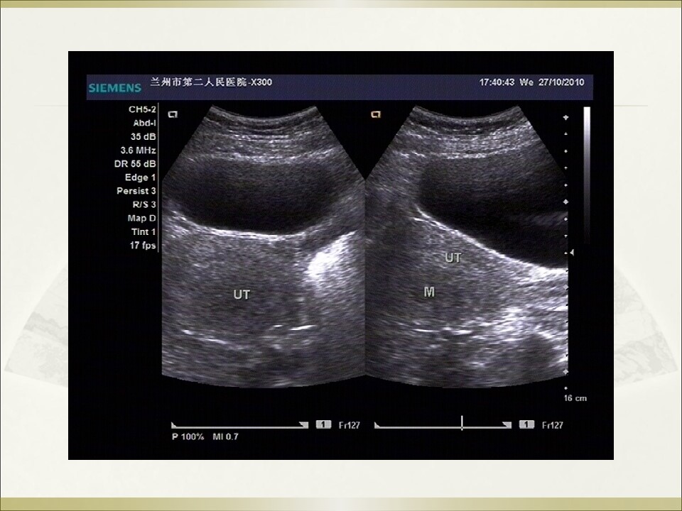
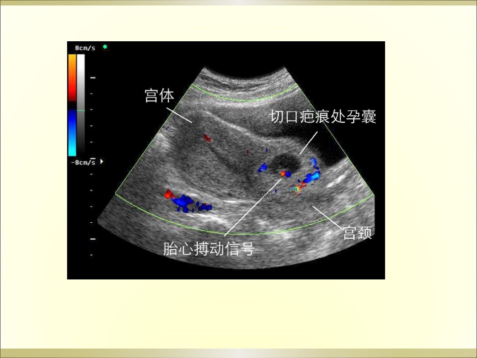
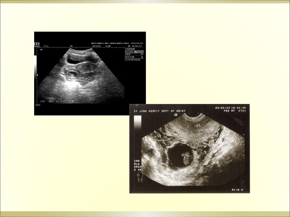
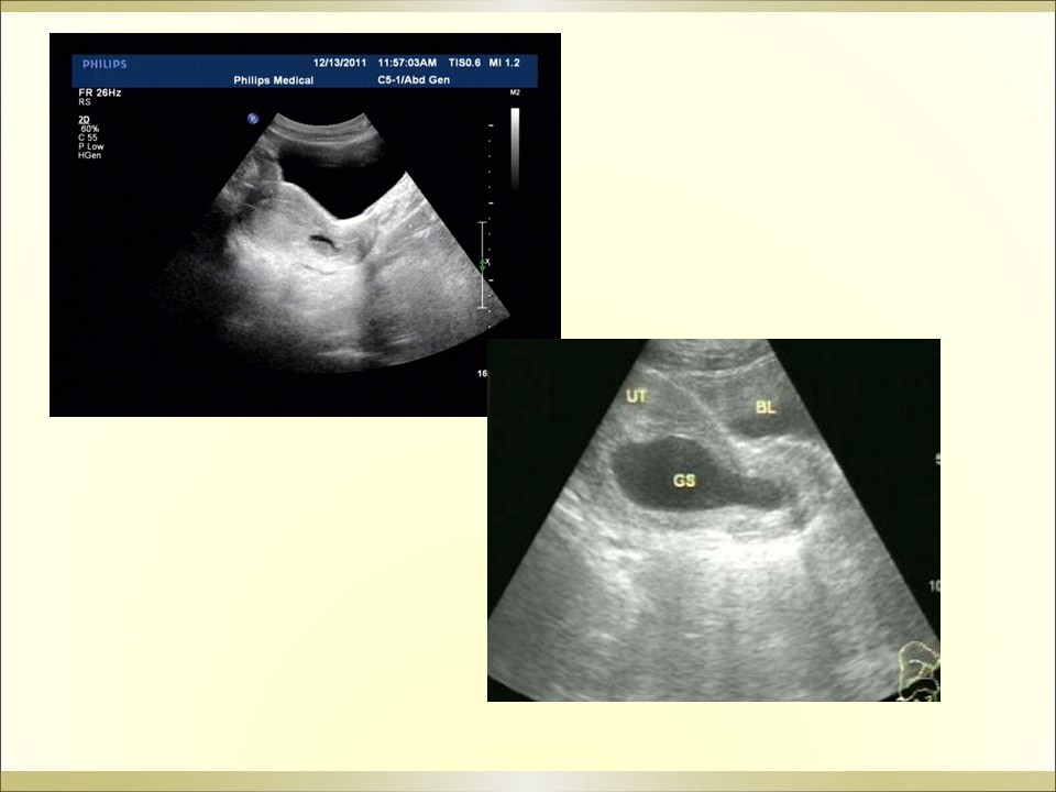
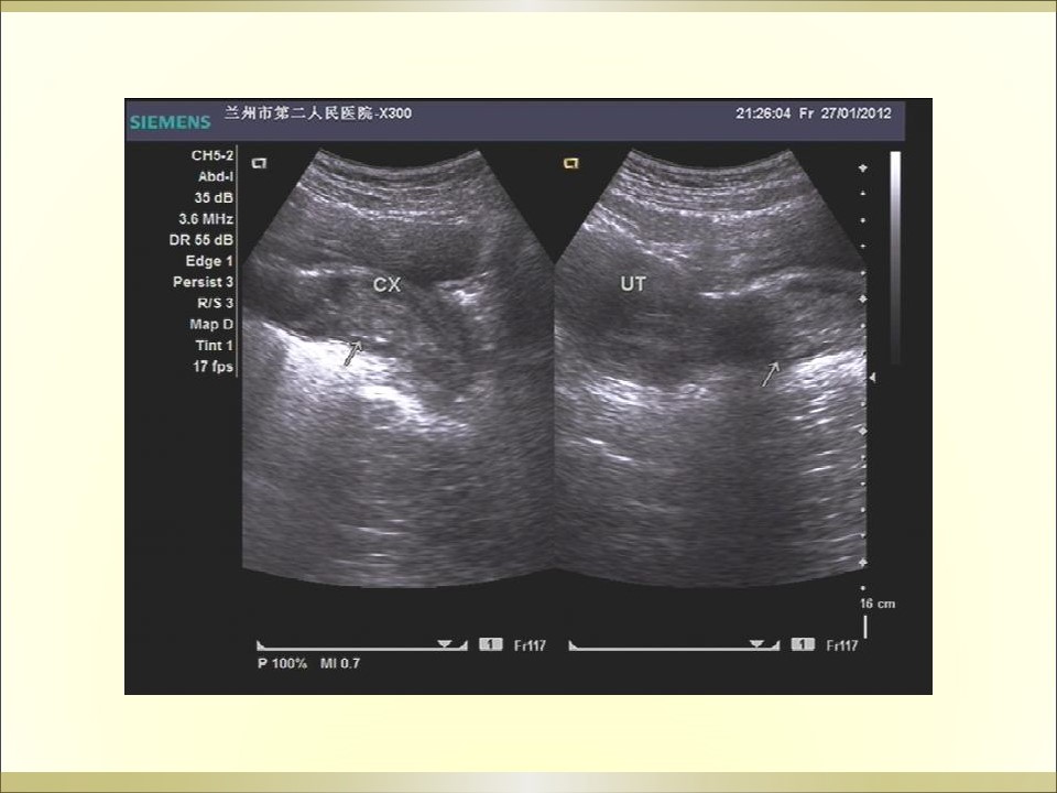
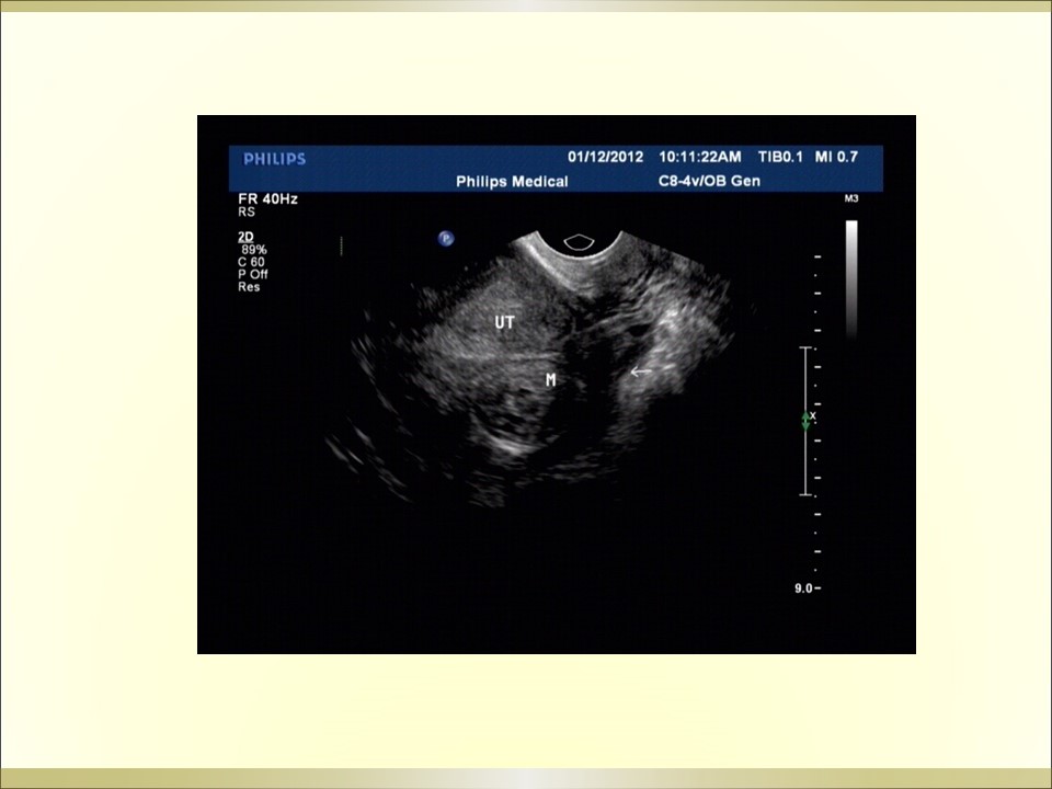
  妇产科急腹症是指因妇科疾病引起的剧烈的急性腹痛,可以是原有疼痛突然加剧,或原无疼痛突然发生,是病因较多的常见病,特点是发病急、病变进展快、病情重,需要及时作出病因诊断及治疗。



扫描二维码推送至手机访问。

版权声明:本文由医护PPT网发布,如需转载请注明出处。

本文链接:http://yy55pp.com/post/331.html

分享给朋友:

“常见妇科急腹症的超声诊断PPT” 的相关文章

强直性脊柱炎的护理PPT

强直性脊柱炎的护理PPT

强直性脊柱炎的护理PPT           强直性脊柱炎是以中轴关节慢性炎症为主,原因不明的全身性疾病。其特点为累及骶髂关节常发生椎间盘纤维环及其附近韧带钙化和骨性强直。...

嗜铬细胞瘤手术的麻醉及围术期用药的选择PPT

嗜铬细胞瘤手术的麻醉及围术期用药的选择PPT

嗜铬细胞瘤手术的麻醉及围术期用药的选择PPT是机体嗜铬组织内生长出来的一种分泌儿茶酚胺的肿瘤,分为有功能型和无功能型嗜铬细胞瘤大部分为良性,恶性或有转移者不足10%可见于任何年龄,好发年龄为40~50岁,女性略高于男性无分泌功能的嗜铬细胞瘤多以局部肿块或压迫周围组织才被发现...

手术室护理实践指南手术物品清点

手术室护理实践指南手术物品清点

手术室护理实践指南手术物品清点2.1手术清点物品手术清点物品包括手术敷料、手术器械、手术特殊物品。2.2手术敷料手术敷料指用于吸收液体、保护组织、压迫止血或牵引组织的纺织物品。包括纱布、纱垫、纱条、宫纱、消毒垫、脑棉片、棉签等。2.3手术器械手术器械指用于执行切割、剥离、抓取、牵拉、缝合等特定功能的...

病毒性肝炎的基本治疗药物PPT

病毒性肝炎的基本治疗药物PPT

病毒性肝炎的基本治疗药物PPT传染病发病数居前五位的病种:   肺结核、乙型肝炎、痢疾、淋病、甲型肝炎死亡数居前五位的病种:    狂犬病、肺结核、乙型肝炎、艾滋病、新生儿破伤风占死亡总数的82.56%...

初级养老护理员PPT

初级养老护理员PPT

初级养老护理员PPT一、养老护理员的工作内容1、概念   指对老人生活进行照料、护理的服务人员。2、任务(内容)   根据老人的生理和心理特点及社会需要,为老人提供日常生活照料a照料老人日常起居b制作营养均衡的膳食c对老人使用的生活用品进行清洁消毒d为患病的老...

动脉采血技术及简单血气分析PPT

动脉采血技术及简单血气分析PPT

动脉采血技术及简单血气分析PPT  人体血液气体的变化情况可通过血液气体分析技术获得。血液气体分析(简称血气分析或血气)是呼吸内科常用的检查项目。血气分析对诊断和指导治疗酸碱紊乱,判断呼吸,循环及肾脏功能不全有重要的价值。...