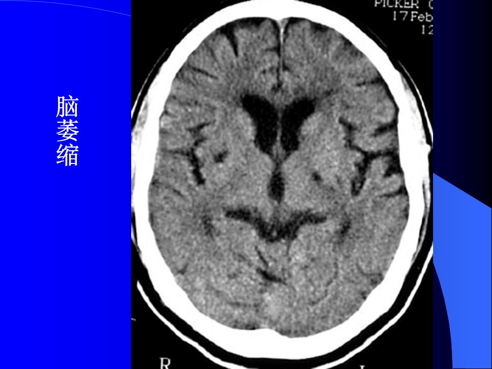
“CNS讲义,颅脑CT诊断” 的相关文章
艾滋病预防知识讲座PPT
艾滋病预防知识讲座PPT直径约为100-140nm。艾滋病病毒进入人体后,主要破坏人体的免疫细胞(CD4淋巴细胞),使人体抵抗疾病的能力下降,各种条件性感染和继发性恶性肿瘤发生增加。而且,病毒变异很快,使研制预防性疫苗非常困难。...
产房消毒隔离制度PPT
产房消毒隔离制度PPT 根据我院感染管理总则,医院感染管理实行科主任、护士长负责制,临床、医技科室成立医院感染管理小组,由科主任、护士长、总住院、监控护士组成,根据本科室医院感染的特点,制定管理制度与培训制度,并组织实施。...
产科四步触诊、骨盆外测量及宫高腹围的测量PPT
产科四步触诊、骨盆外测量及宫高腹围的测量PPT1、检查胎产式、胎先露、胎方位。 2、检查胎先露是否衔接。 3、 查看子宫大小是否与孕周相符,估计 胎儿的大小及羊水量的多少。...
产科疑难病例讨论产后大出血病人的救治PPT
产科疑难病例讨论产后大出血病人的救治PPT1例介入联合子宫全切救治 产后大出血病人的病情讨论...
常见损容性皮肤病的治疗与美容PPT
常见损容性皮肤病的治疗与美容PPT肌理细腻、滋润适度、柔软娇嫩;有适度的光泽与张力、富于弹性;血色好,有活力,给人以生气勃勃之感。...
创伤基本急救技术PPT
创伤基本急救技术PPT一、概述 伤口是细菌侵入人体的门户,如果伤口被细菌污染,就可能引起化脓或并发败血症、气性坏疽、破伤风,严重损害健康,甚至危及生命。所以,受伤以后,如果没有条件做到清创手术,在现场要先进行包扎。包扎的目的: 1、保护伤口,减少感...
