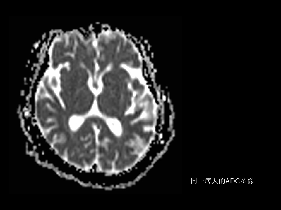
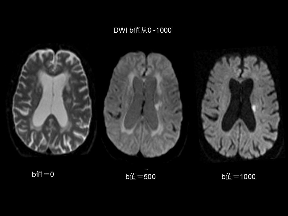
“DWI在急性、亚急性脑梗塞中的影像学诊断价值” 的相关文章
简易呼吸器的使用
简易呼吸器的使用一、目的二、指征和适应证及相对禁忌证三、简易呼吸器的组成四、简易呼吸器工作原理五、简易呼吸器检测方法六、操作步骤七、注意事项八、消毒和保养...
泌尿外科手术配合
泌尿外科手术配合泌尿外科手术器械配置泌尿外科器械的构造及故障部分仪器的安全使用常见手术的配合要点...
弱视的诊断与处理PPT
弱视的诊断与处理PPT新生儿:出生到1星期0.01-0.02;1个月0.05-0.12个月:有辐辏反应3个月:大多可平稳“跟随”,固视4个月:开始建立立体视3-4个月:调节已发育良好1岁:0.1-0.32-3岁:0.5,3岁时立体视建立基本完成4-5岁:0.6 5-6岁:0.8...
手术室医院感染预防与控制
手术室医院感染预防与控制1998年 深圳妇儿医院手术切口感染暴发 2005年 宿州 “眼球事件” 2001年 上海某医院儿科心脏术后18例肺炎克雷白杆菌血液感染 上海某医院心脏手术后鲍曼不动杆菌血液感染暴发...
小儿护理技术PPT
小儿护理技术PPT一、更换尿布法二、婴儿沐浴法三、换血疗法四、头皮静脉输液法五、股静脉穿刺法六、暖箱使用法七、光照疗法八、婴儿抚触...
产科急救应急预案PPT
产科急救应急预案PPT目的:加强产科急救管理,有效控制孕妇死亡率和婴儿死亡率,确保母婴安全。范围:本预案适用于我院急、危、重症孕产妇的急救抢救工作。应急原则 :预防为主、常备不懈;统筹协调、分工合作; 职责明确、反应迅速; 措施果断、通讯畅通。组织结构:(一)产科应急抢救领导...
