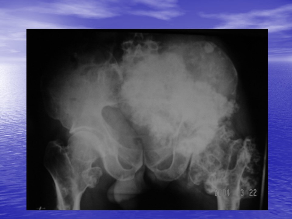
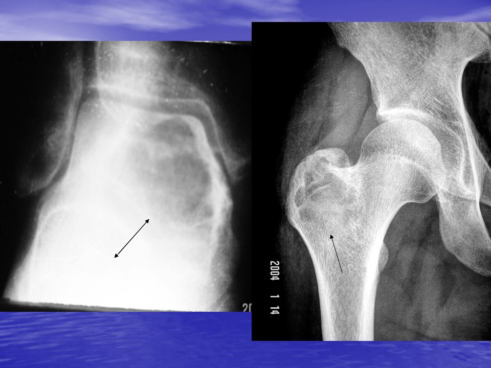
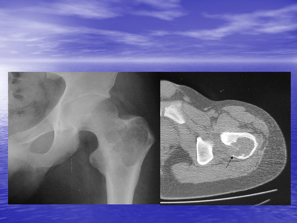
“成软骨性骨肿瘤的影像学诊断PPT” 的相关文章
(急诊科)急性左心衰的急救流程
(急诊科)急性左心衰的急救流程 急性心脏病变引起心排血量在短时间内急剧下降,甚至完全丧失了心排血功能,导致组织、器官灌注不足和急性瘀血的综合征。 ...
泌尿外科腹腔镜手术配合
泌尿外科腹腔镜手术配合腹腔镜在泌尿外科手术应用近20余年来取得了很大的进展。就开展手术的范围而言,现已涉及到泌尿及男性生殖外科的方方面面。由于腹腔镜手术不仅具有损伤小、术后恢复快、手术野外表美观和住院时间短等优点,并使得远程手术成为可能,代表了外科手术的发展方向,因此随着手术器械的发展和手术操作技能...
乳糖不耐受与婴幼儿健康PPT
乳糖不耐受与婴幼儿健康PPT 乳糖不耐受是指一部分人因肠道缺乏乳糖酶,不能很好地消化分解乳中的乳糖,导致食用乳及乳制品后出现腹胀、腹痛、恶心等消化道症状。  ...
神经内科常用口服药物使用注意事项PPT
神经内科常用口服药物使用注意事项PPT1.抗血小板聚集药2.抗高血压药3.血脂调节药4.降血糖药5.抗帕金森病药6.抗癫痫药7.抗焦虑抑郁药...
手术全期护理PPT模板
手术全期护理PPT模板 手术是临床外科系统治疗疾病的一种重要手段,手术室围手术期护理工作包括从病人决定手术入院、接受手术以及麻醉苏醒后直至病人出院的全过程。手术室护理工作不仅仅局限在手术室内,它延伸到手术前后的护理。在此期间,护士不仅为病人提供直接的护理,同事...
外科学骨折概论
外科学骨折概论 骨折可由创伤和骨骼疾病所致,后者如骨髓炎、骨肿瘤所致骨质破坏,受轻微外力即发生的骨折,称为病理性骨折 。...
