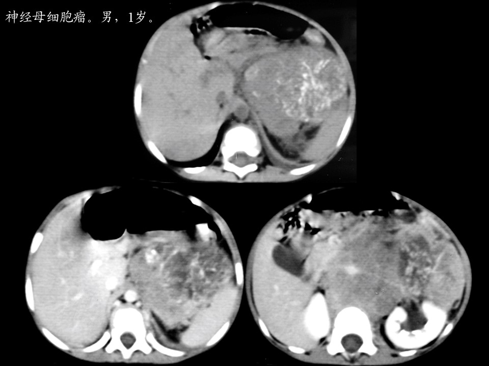
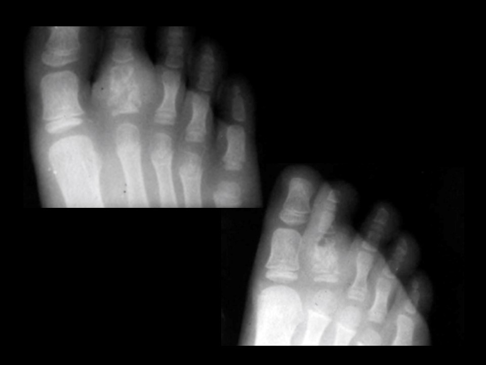
“儿童中枢神经系统外神经源性肿瘤的影像表现PPT” 的相关文章
手术室信息化建设精细化管理
手术室信息化建设精细化管理对手术室的时间进行精密管理,优化手术流程及各时间段的利用,降低非手术时间占手术总时间的比例,提高手术时间利用率, 集中体现在对手术医生、护士、患者进行时间管理。...
吞咽障碍的康复护理2
吞咽障碍的康复护理2吞咽障碍是指各种原因所致食物不能由口腔到胃的过程。常发生于脑卒中、颅脑外伤、帕金森病等人群。吞咽障碍除影响患者的正常食物摄入、造成全身营养不良外,还可引起呛咳、误吸,发生肺感染。...
心肺复苏
心肺复苏 “心肺复苏是抢救心脏猝死的重要技术,它现在已成为全世界第一救命技术,操作简单,施行它所需要的只是两只手。”在前不久在京举办的“大变革·新机遇——2018中国大健康产业高峰论坛”上,120创始人、中国医学救援协会会长李宗浩就抢救生命的最前沿科学技术做一系...
肿瘤相关性静脉血栓栓塞症诊断与治疗PPT
肿瘤相关性静脉血栓栓塞症诊断与治疗PPT 静脉血栓栓塞症(VTE)是指静脉内形成血凝块,导致深静脉血栓(DVT)和/或肺栓塞(PE) 同一疾病,不同阶段、部位的两种表现形式...
产房消毒隔离制度PPT
产房消毒隔离制度PPT 根据我院感染管理总则,医院感染管理实行科主任、护士长负责制,临床、医技科室成立医院感染管理小组,由科主任、护士长、总住院、监控护士组成,根据本科室医院感染的特点,制定管理制度与培训制度,并组织实施。...
腹膜透析相关腹膜炎诊断与治疗PPT
腹膜透析相关腹膜炎诊断与治疗PPT腹膜透析相关腹膜炎是腹膜透析最常见的并发症,也是导致腹膜透析技术失败和患者死亡的主要原因。...
