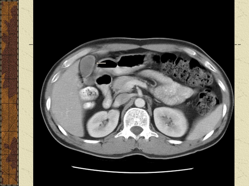
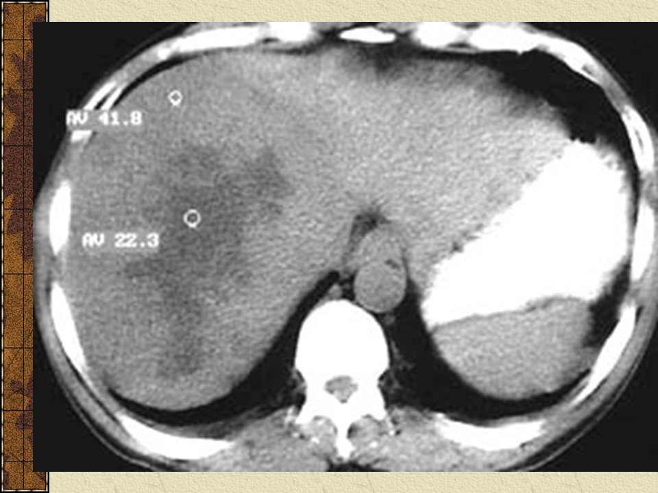
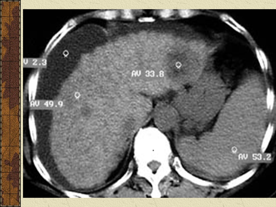
“肝、胆、胰、脾的CT诊断PPT” 的相关文章
常用麻醉学技术与护理
常用麻醉学技术与护理麻醉(ANESTHESIA):指用药物或其他方法使病人整个机体或机体的一部分暂时失去感觉,以达到手术中无痛的目的。...
导管相关血流感染PPT
导管相关血流感染PPT定义:导管相关血流感染 (Catheter Related Blood Stream Infection,简称CRBSI) ※ 是指带有血管内导管或者拔除血管内导管48小时内的患者出现菌血症或真菌血症,并伴有发热(>38℃)、寒颤或低血压等感染表现,除血管导管外...
普外科常用药物
普外科常用药物1.抗生素青霉素:氨苄西林、美洛西林钠、哌拉西林舒钠、 阿莫西林头孢菌素类:头孢唑啉钠、头孢替安/头孢美唑、头 &n...
肾功能不全和抗菌药物的使用PPT
肾功能不全和抗菌药物的使用PPT 肌酐的生成量与体重或体表面积成正比, 随年年龄的增加而降低。女性肌肉组织较男性少, 其肌酐生成量比男性低。因此考虑了年龄、体重或体表面积及性别因素的公式应较准确。 肌酐清除率的...
手术室全期护理
手术室全期护理 手术是临床外科系统治疗疾病的一种重要手段,手术室围手术期护理工作包括从病人决定手术入院、接受手术以及麻醉苏醒后直至病人出院的全过程。手术室护理工作不仅仅局限在手术室内,它延伸到手术前后的护理。在此期间,护...
术中输血护理操作
术中输血护理操作 (intraoperative blood transfusion)指于患者手术过程中将血液制剂通过静脉输注给患者的一种治疗方法。...
