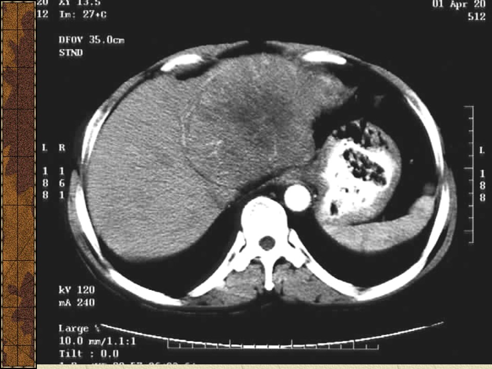
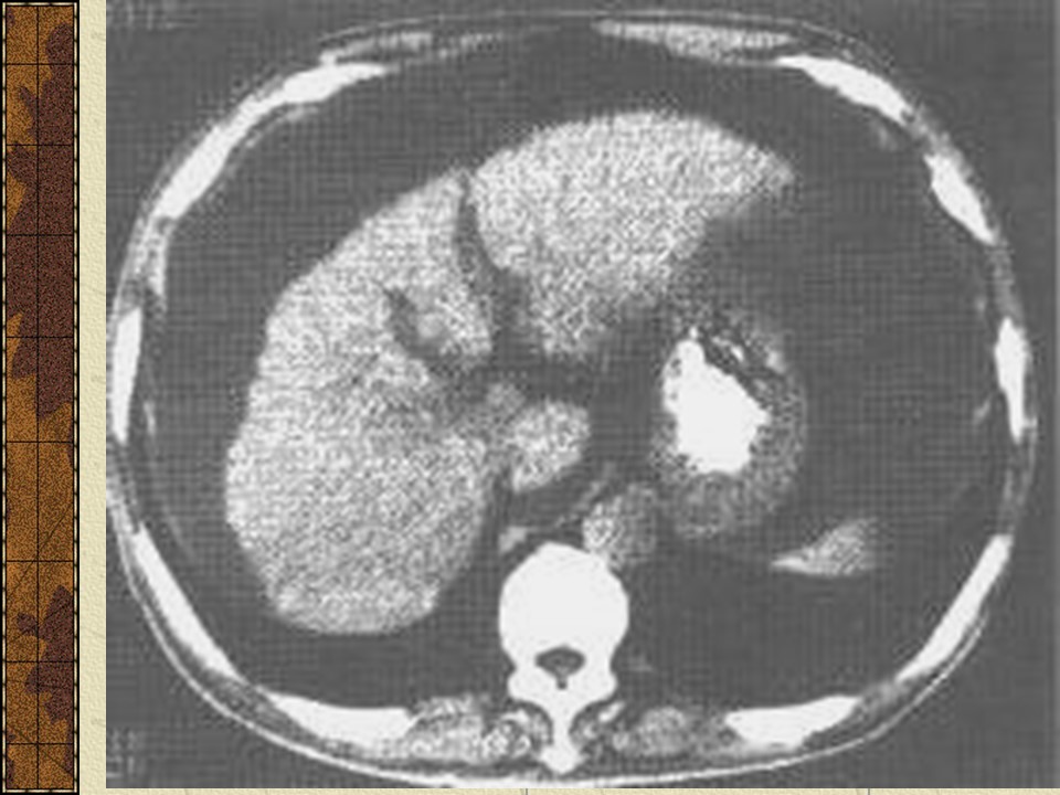
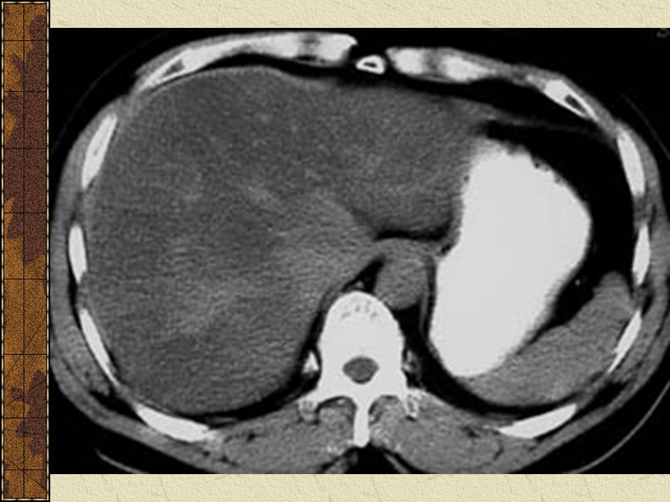
“肝脏CT诊断PPT” 的相关文章
神经外科护理小讲课,善变的瞳孔
神经外科护理小讲课,善变的瞳孔让我带领大家走进瞳孔的世界...
手术室实习生教学培训
手术室实习生教学培训 洁净手术部工程是由多学科、多系统、多功能组成的系统工程。改变了多年来手术室内空气消毒的方法,代之以初效、中效、高效过滤器的物理净化方式,使手术间内压力、温度、湿度、风速得到有效控制。不同净化等级手术室,采用智能控制,使手术室空气质量得到了极大改善,...
睡眠障碍PPT
睡眠障碍PPT睡眠障碍是由多种因素引起(常与躯体疾病有关),睡眠和觉醒正常节律性交替紊乱,造成睡眠质与量的异常以及睡眠中出现异常行为。 失眠是最常见的睡眠障碍 。据报道,美国的失眠发生率高达32%至50%,英国为10%至14%,日本为20%,法国为30%,中国在30%以上,失眠给全球经济、...
爱眼护眼保护视力PPT
爱眼护眼保护视力PPT 蓝蓝的天空、白白的云朵、绿绿的草地,这些美丽的风景都需要我们用眼睛才可以看到。 我们都知道一句名言“眼睛是心灵的窗户”,眼睛还是人体中最重要的器官之一,我们所接受的外界信息...
带您走进手术室
带您走进手术室 手术是治疗外科疾病的重要手段,手术医生,麻醉医生和我们手术室护士是一个整体的手术团队,您的手术有手术医生和麻醉医生负责,我们手术室护士主要负责配合您的手术。我们有先进的医疗设备,成熟的医疗技术,以确保您手术的安全和成功...
导管相关性感染预防与控制PPT
导管相关性感染预防与控制PPT导管相关血流感染(Catheter Related Blood Stream Infection,简称CRBSI)是指带有血管内导管或者拔除血管内导管48小时内的患者出现菌血症或真菌血症,并伴有发热(>38℃)、寒颤或低血压等感染表现,除血管导管外没有其他明确的感...
