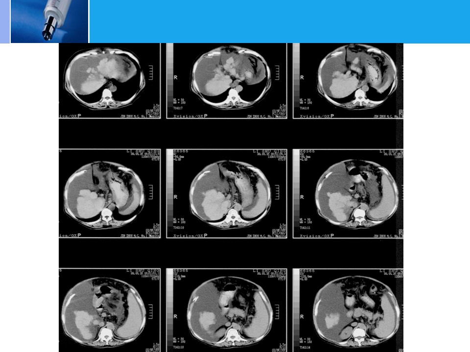
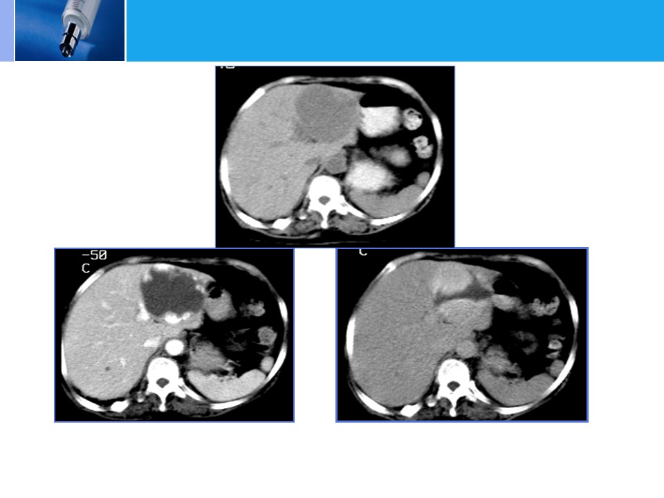
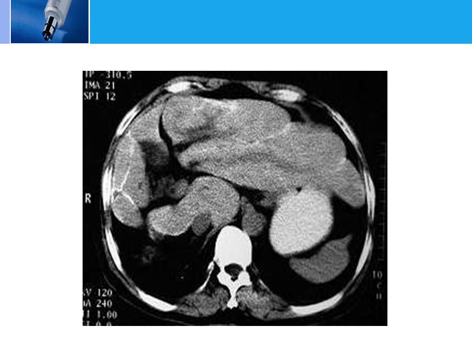
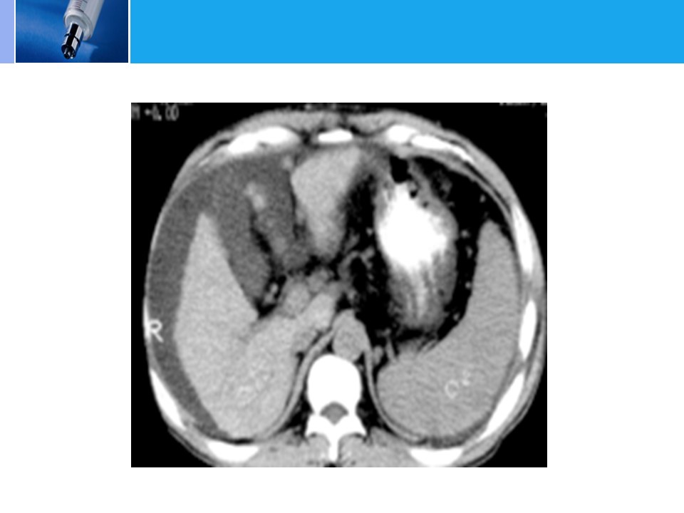
“肝脏的CT影像诊断(最全版)PPT” 的相关文章
慢阻肺稳定期药物治疗与管理PPT
慢阻肺稳定期药物治疗与管理PPT判断患者疾病的严重程度疾病对患者生活质量的影响以及未来发生的远期事件最终目的是指导治疗...
泌尿外科腹腔镜手术配合
泌尿外科腹腔镜手术配合腹腔镜在泌尿外科手术应用近20余年来取得了很大的进展。就开展手术的范围而言,现已涉及到泌尿及男性生殖外科的方方面面。由于腹腔镜手术不仅具有损伤小、术后恢复快、手术野外表美观和住院时间短等优点,并使得远程手术成为可能,代表了外科手术的发展方向,因此随着手术器械的发展和手术操作技能...
脑卒中的康复治疗PPT
脑卒中的康复治疗PPT脑卒中: 是一组急性脑血管疾病。是指突然发生的、由脑血管病变引起的局限性脑功能障碍,并持续时间超过24小时或引起死亡的临床症候群(WHO)分类:缺血性卒中(Ischemic Stroke): 又称脑梗死,包括脑血栓形成,脑栓塞和短暂性脑缺血发作(TIA)出血性卒中(Hemorr...
品管圈圈徽大全PPT
品管圈圈徽大全PPT...
肾功能不全和抗菌药物的使用PPT
肾功能不全和抗菌药物的使用PPT 肌酐的生成量与体重或体表面积成正比, 随年年龄的增加而降低。女性肌肉组织较男性少, 其肌酐生成量比男性低。因此考虑了年龄、体重或体表面积及性别因素的公式应较准确。 肌酐清除率的...
手术室护士对手术患者的心理护理
手术室护士对手术患者的心理护理 手术患者的心理主要表现为:紧张,焦虑,担忧和恐惧。有些手术患者往往处于高度紧张、焦虑、恐惧不安等不良情绪之中,这些不良情绪直接引起体温、脉搏、呼吸、血压等生命体征的变化,如果过于强烈,会直接干扰手术和麻醉的顺利实施。...
