“类风湿性关节炎、强直性脊柱炎影像学诊断PPT” 的相关文章
常用麻醉学技术与护理
常用麻醉学技术与护理麻醉(ANESTHESIA):指用药物或其他方法使病人整个机体或机体的一部分暂时失去感觉,以达到手术中无痛的目的。...
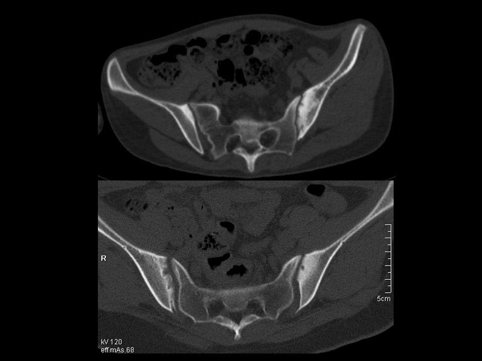
强直性脊柱炎的护理PPT
强直性脊柱炎的护理PPT 强直性脊柱炎是以中轴关节慢性炎症为主,原因不明的全身性疾病。其特点为累及骶髂关节常发生椎间盘纤维环及其附近韧带钙化和骨性强直。...
手术全期护理PPT模板
手术全期护理PPT模板 手术是临床外科系统治疗疾病的一种重要手段,手术室围手术期护理工作包括从病人决定手术入院、接受手术以及麻醉苏醒后直至病人出院的全过程。手术室护理工作不仅仅局限在手术室内,它延伸到手术前后的护理。在此期间,护士不仅为病人提供直接的护理,同事...
手术室护士对手术患者的心理护理
手术室护士对手术患者的心理护理 手术患者的心理主要表现为:紧张,焦虑,担忧和恐惧。有些手术患者往往处于高度紧张、焦虑、恐惧不安等不良情绪之中,这些不良情绪直接引起体温、脉搏、呼吸、血压等生命体征的变化,如果过于强烈,会直接干扰手术和麻醉的顺利实施。...
新生儿黄疸
新生儿黄疸 缺氧使胎儿RBC生成多,75%胆红素来源于破坏的红细胞,8.8mg/dl,成人3.8mg/dl 新生儿RBC寿命短,80天,早产儿60-70天无效造血...
肿瘤疼痛护理ppt
肿瘤疼痛护理ppt 近年来,癌症的发病率和死亡率均有所上升,癌症患者在背负沉重的心理负担和巨大的精神压力的同时,身体也遭受着疼痛的折磨,如何减轻癌症患者的疼痛,提高癌症患者的生活质量,是疼痛护理中临床护理人员不断探索的课题。...
