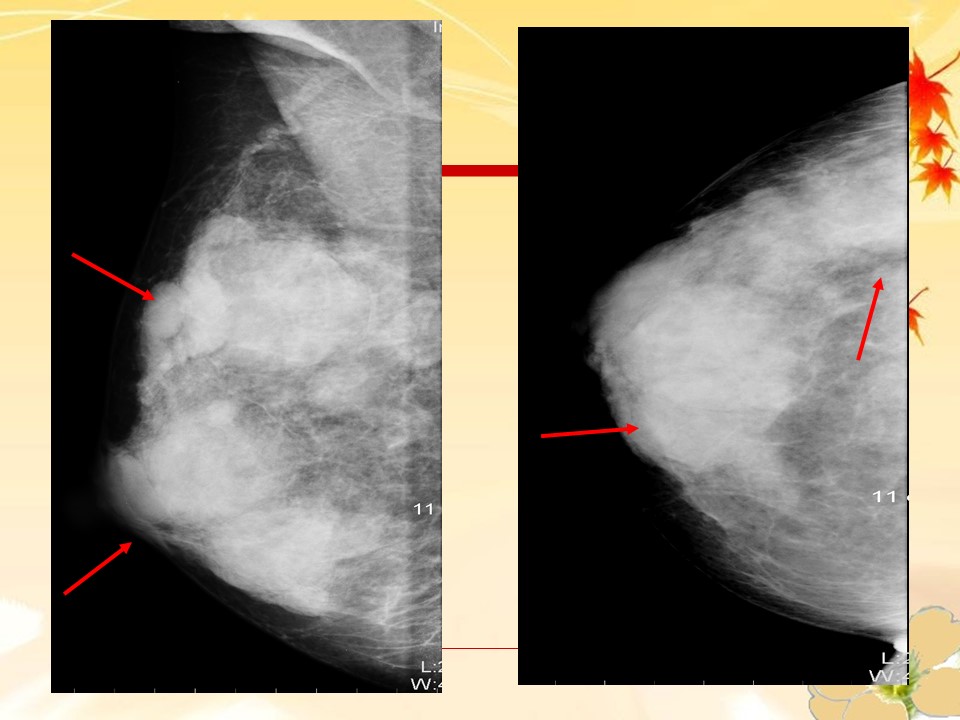
“乳腺影像诊断PPT” 的相关文章
肝癌及介入治疗PPT
肝癌及介入治疗PPT 发病率逐年上升、WHO十大肿瘤之一  ...
肾内科入科须知PPT
肾内科入科须知PPT遵守工作纪律,不迟到不早退。保持和谐的医患关系。与病人及家属充分交流,使病人了解诊断、治疗情况和预后。按照肾内科诊疗常规要求进行各种操作和特殊用药前的谈话,记录和术前准备。...
手术患者的安全核查与交接
手术患者的安全核查与交接 随着社会的进步,人们生活、文化水平的不断提高,患者对保护自己的就医权利的意识增强,对医疗质量、服务质量、医疗安全的要求及法律观念、经济意识和自我权益观念也不断增强。手术室是高风险的工作场所,如不注意医疗护理安全,稍有不慎就...
手术室安全期护理医疗系统救护系统医疗护理PPT模板
手术室安全期护理医疗系统救护系统医疗护理PPT模板 手术是临床外科系统治疗疾病的一种重要手段,手术室围手术期护理工作包括从病人决定手术入院、接受手术以及麻醉苏醒后直至病人出院的全过程。手术室护理工作不仅仅局限在手术室内,...
手术室医院感染预防与控制
手术室医院感染预防与控制1998年 深圳妇儿医院手术切口感染暴发 2005年 宿州 “眼球事件” 2001年 上海某医院儿科心脏术后18例肺炎克雷白杆菌血液感染 上海某医院心脏手术后鲍曼不动杆菌血液感染暴发...
睡眠课件PPT
睡眠课件PPT入睡困难 、早醒 、精神疲劳 、头昏眼花、 头痛耳鸣 、心悸气短 、记忆力不集中 、工作效率下降等现象...
