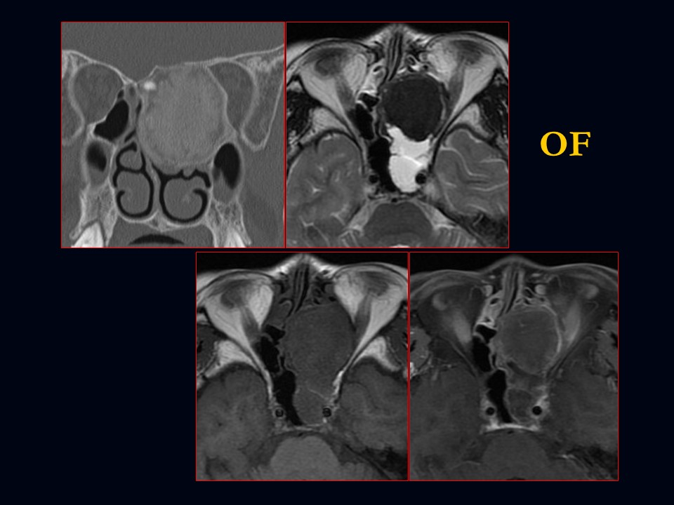
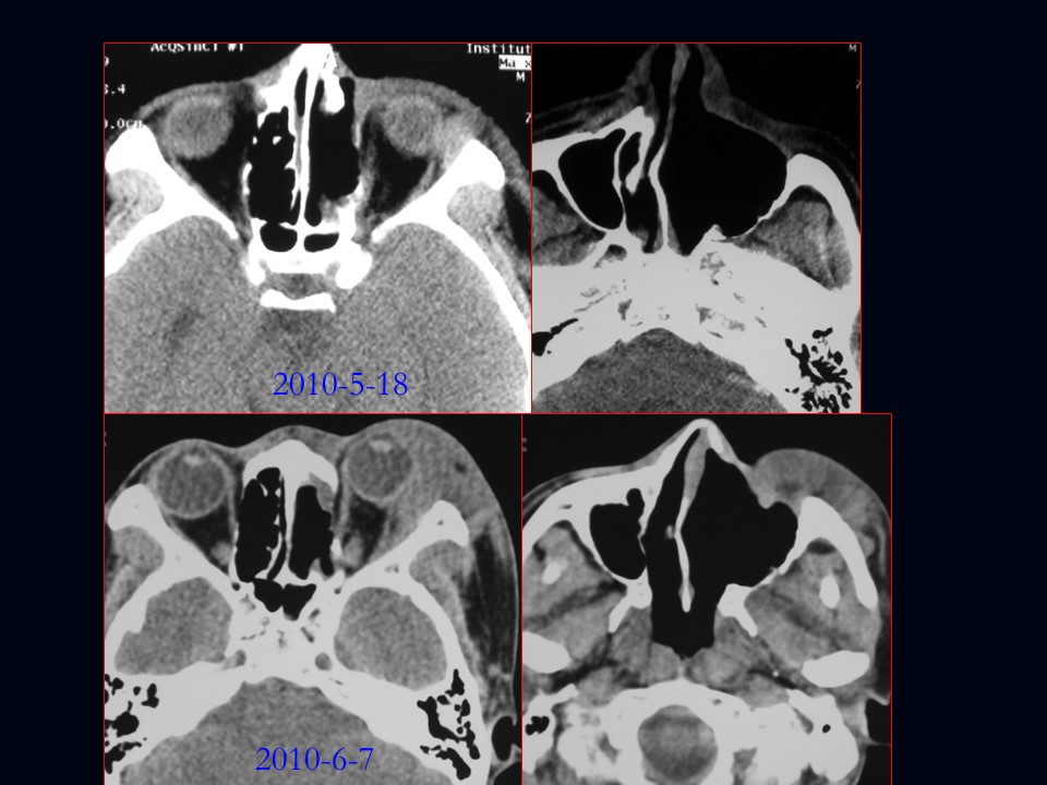
“鼻腔鼻窦病变的影像学检查路径及分析思” 的相关文章
儿科氧气疗法PPT
儿科氧气疗法PPT氧是维持人类生命所必需的物质,但人体内氧的贮备极少。人体代谢所需的氧靠呼吸器官不断地从空气中摄取,并借助循环系统和血液系统的功能运往全身的器官和组织。故缺氧可导致体内的代谢异常和生理功能紊乱,严重者可致使重要的脏器组织损伤和功能障碍,甚至危及生命。...
手术室护士职业危害与防护PPT
手术室护士职业危害与防护PPT护理职业防护:在护理工作中采取多种有效措施,保护护士免受职业损伤因素的侵袭,或将其所受伤害降到最低。标准预防:认定病人的血液、体液、分泌物、排泄物均具有传染性,需进行隔离,不论是否有明显的血迹污染或是否接触非完整的皮肤与粘膜,接触上述物质者必须采取防护措施。针刺伤:指一...
手术室消毒隔离PPT
手术室消毒隔离PPT手术室是对病人进行抢救和治疗的场所,是医院重要的技术部门,手术室的工作质量直接影响着医疗效果和病人预后。所以手术室的消毒及无菌技术要求较高。...
吞咽障碍的康复护理2
吞咽障碍的康复护理2吞咽障碍是指各种原因所致食物不能由口腔到胃的过程。常发生于脑卒中、颅脑外伤、帕金森病等人群。吞咽障碍除影响患者的正常食物摄入、造成全身营养不良外,还可引起呛咳、误吸,发生肺感染。...
产科疑难病例讨论产后大出血病人的救治PPT
产科疑难病例讨论产后大出血病人的救治PPT1例介入联合子宫全切救治 产后大出血病人的病情讨论...
动脉采血技术及简单血气分析PPT
动脉采血技术及简单血气分析PPT 人体血液气体的变化情况可通过血液气体分析技术获得。血液气体分析(简称血气分析或血气)是呼吸内科常用的检查项目。血气分析对诊断和指导治疗酸碱紊乱,判断呼吸,循环及肾脏功能不全有重要的价值。...
