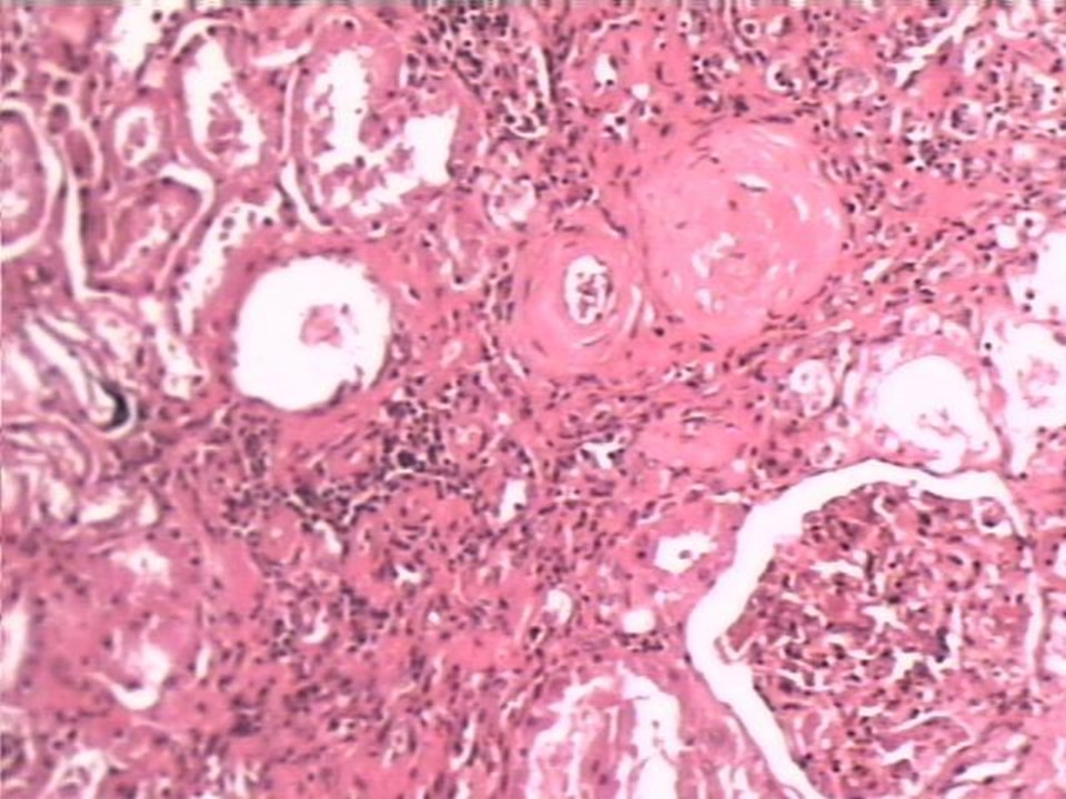
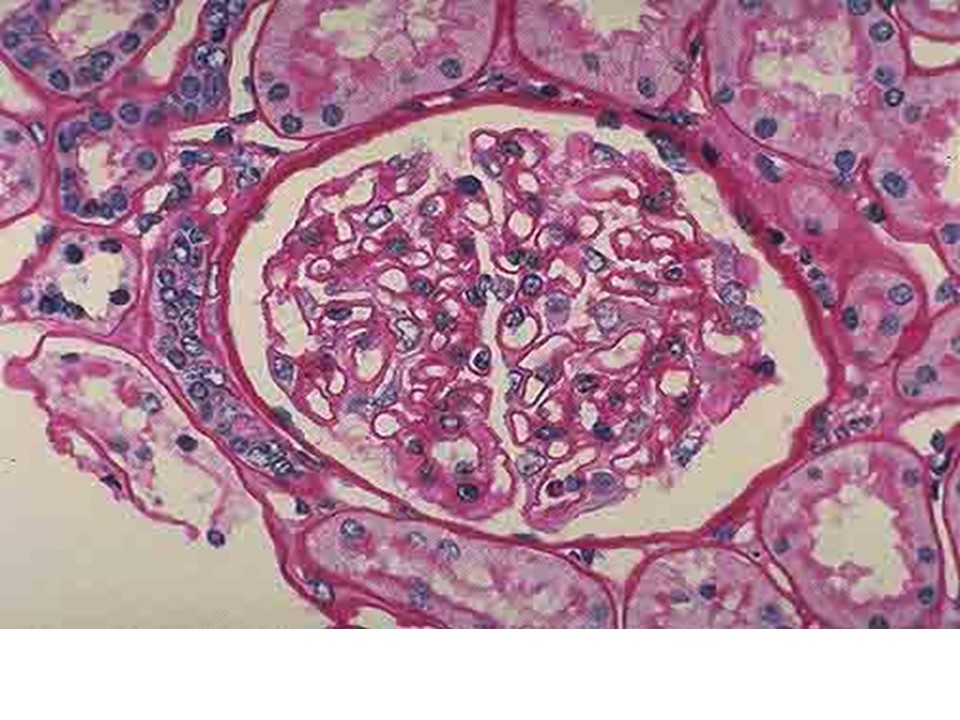
“病理学泌尿系统疾病” 的相关文章
肝癌及介入治疗PPT
肝癌及介入治疗PPT 发病率逐年上升、WHO十大肿瘤之一  ...
女性生殖系统炎症PPT
女性生殖系统炎症PPT保持会阴清洁、止痒止痛 会阴擦洗顺序:由前向后、从尿道到阴道、最后肛门体位:半卧位执行医嘱、配合治疗...
肾内科入科须知PPT
肾内科入科须知PPT遵守工作纪律,不迟到不早退。保持和谐的医患关系。与病人及家属充分交流,使病人了解诊断、治疗情况和预后。按照肾内科诊疗常规要求进行各种操作和特殊用药前的谈话,记录和术前准备。...
消毒与隔离技术
消毒与隔离技术清洁:指通过除去尘埃和一切污垢以去除和减少微生物数量的过程。适用于医院地面、墙壁、医疗护理用品等物体表面的处理,是物品消毒、灭菌的必要步骤。消毒:指用物理、化学、生物的方法清除或杀灭环境中和媒介物上除芽孢以外的所有病原微生物的过程。灭菌:指用物理或化学方法杀灭或清除传播媒介上的一切微生...
心房颤动行射频消融术的治疗与护理PPT
心房颤动行射频消融术的治疗与护理PPT指规则有序的心房电活动丧失,代之以快速无序的颤动波,是最严重的心房电活动紊乱,也是常见的快速性心律失常之一。心房由于颤动失去了有效的收缩与舒张,进而导致泵血功能下降或丧失,加之房室结对心房激动的递减传导,可致心室律(率)极不规则。因此,室律(率)紊乱、心功能受损...
心肺复苏
心肺复苏 “心肺复苏是抢救心脏猝死的重要技术,它现在已成为全世界第一救命技术,操作简单,施行它所需要的只是两只手。”在前不久在京举办的“大变革·新机遇——2018中国大健康产业高峰论坛”上,120创始人、中国医学救援协会会长李宗浩就抢救生命的最前沿科学技术做一系...
