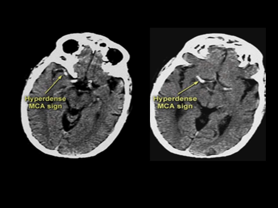
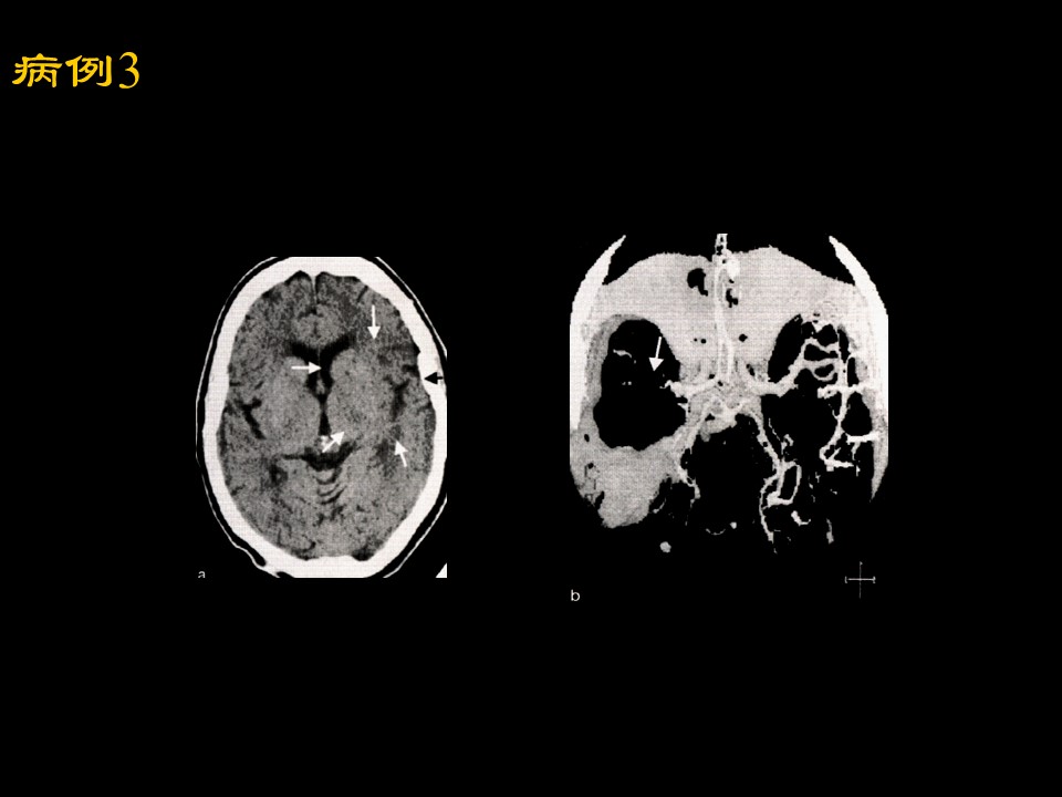
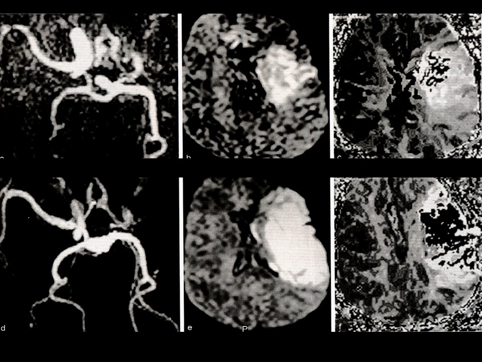
“超早期脑梗塞的CT和MRI诊断” 的相关文章
常用隔离技术
常用隔离技术口罩保护病人和工作人员,避免互相感染,并防止飞沫污染无菌物品或清洁食物等;帽子防止工作人员的头发、头屑散落或头发被污染。...
手术患者的转运交接
手术患者的转运交接 概念、目的手术患者转运交接原则手术患者的转运交接转运交接注意事项...
突发事件应急预案与处理流程
突发事件应急预案与处理流程突发事件:突然发生,造成或者可能造成严重社会危害,需要采取应急处置予以应对的事件自然灾害事故灾害公共卫生事件社会安全事件...
外科手术打结与缝合PPT
外科手术打结与缝合PPT1、方结: 由两道方向相反的单结组成(第二单结与第一单结方向相反),是外科手术中主要的结扎方式。主要用于皮肤、脂肪组织和小血管的结扎...
心胸外科常见疾病概述
心胸外科常见疾病概述一、心血管外科疾病 1、先天性心脏病 2、瓣膜病 3、冠心病 4、大血管疾病 5、心包疾病二、普胸疾病 1、胸壁疾病 2、纵隔疾病 3、食管疾病 4、肺疾病 ...
自身免疫性溶血性贫血的诊断与治疗PPT
自身免疫性溶血性贫血的诊断与治疗PPT溶血: 红细胞破坏过多。溶血性黄疸: 红细胞大量破坏,释放出大量Hb,使血浆中非结合胆红素增多,超过肝脏的处理能力而出现的黄疸。 溶血性贫血: 红细胞寿命缩短,过早、过多破坏,超过骨髓的代偿能力引起的贫血。自身免疫性溶血性贫血: 由于体内免疫调节紊乱,...
