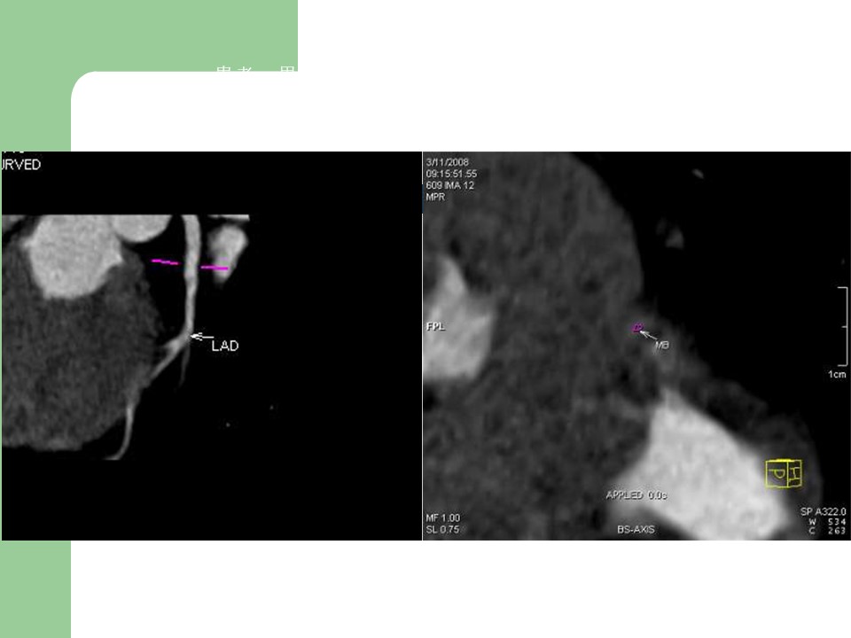
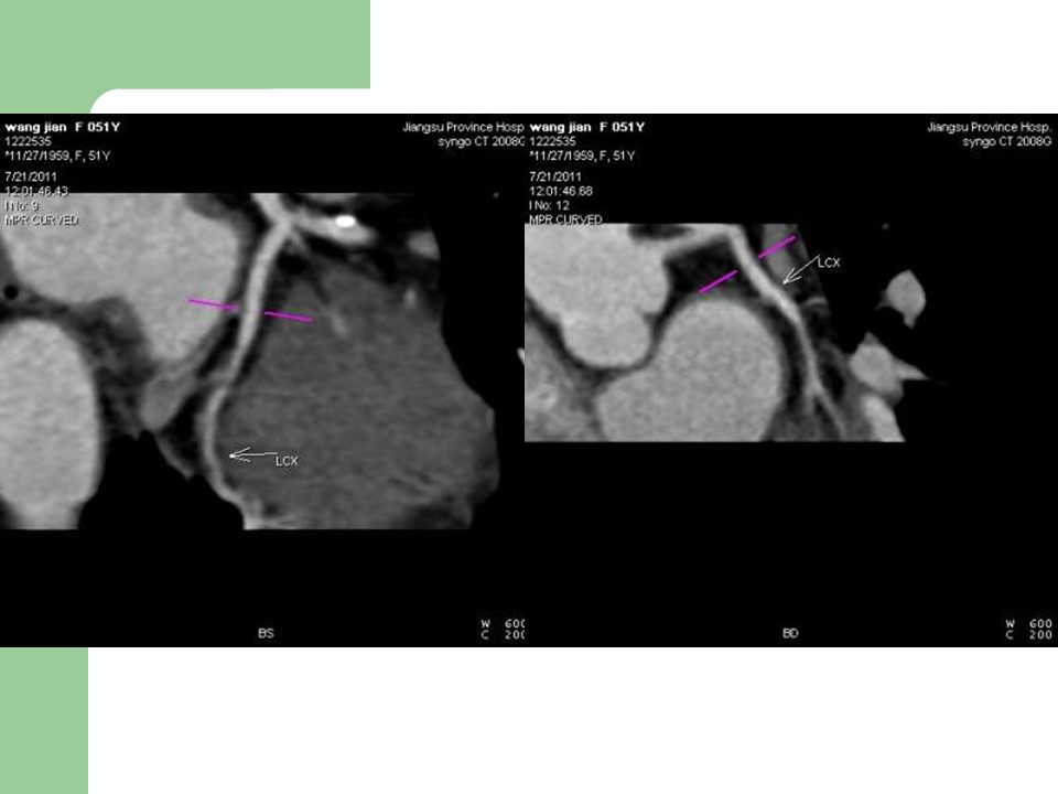
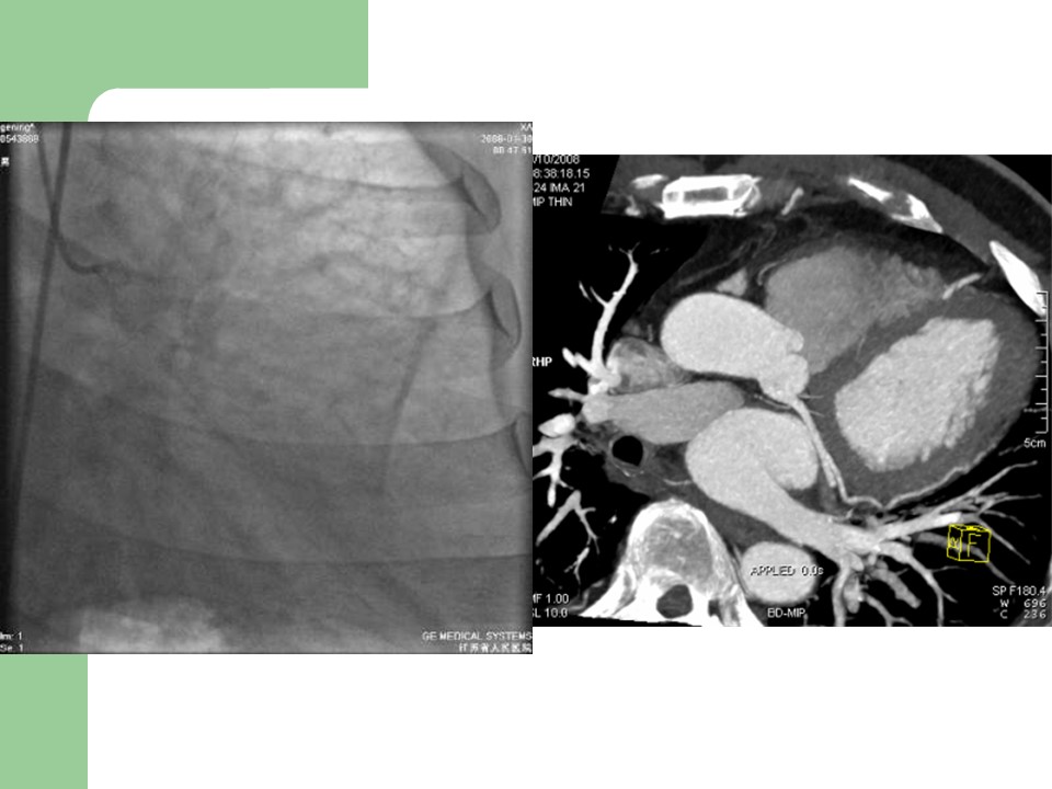
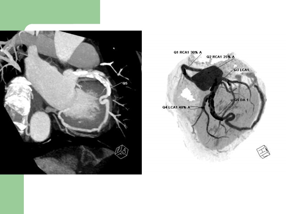
“冠状动脉常见疾病的双源CT表现” 的相关文章
产科休克抢救
产科休克抢救有效循环血量不足,组织器官微循环灌注急剧减少为基本原因的急性循环功能衰竭综合征。 有效循环血量 vs 组织灌注...
川崎病
川崎病又称皮肤粘膜淋巴结综合(mucocutaneous lymph node syndrome,MCLS)是一种主要发生在5岁以下儿童的急性发热出疹性疾病,表现为全身血管炎综合征。其中心血管损害是影响预后最重要的因素,是儿童时期缺血性心脏病的主要原因。...
房颤的外科双极射频消融
房颤的外科双极射频消融指规则有序的心房电活动丧失,代之以快速无序的颤动波,是最严重的心房电活动紊乱,也是常见的快速性心律失常之一。心房由于颤动失去了有效的收缩与舒张,进而导致泵血功能下降或丧失,加之房室结对心房激动的递减传导,可致心室律(率)极不规则。因此,室律(率)紊乱、心功能受损和心房附壁血栓形...
妇科常见病用药PPT
妇科常见病用药PPT滴虫性阴道炎是由阴道毛滴虫引起的妇科常见病。由于感染的阴道毛滴虫破坏了阴道的自净防御机能,继发细菌感染所致。在妊娠期和月经来临前后,阴道毛滴虫的感染率和发病率升高。有些妇女的阴道内虽存在滴虫,但可无任何症状。青春期前与绝经后的妇女,因卵巢功能差,雌激素水平低,阴道黏膜上皮内缺乏糖...
手术室实习生教学培训
手术室实习生教学培训 洁净手术部工程是由多学科、多系统、多功能组成的系统工程。改变了多年来手术室内空气消毒的方法,代之以初效、中效、高效过滤器的物理净化方式,使手术间内压力、温度、湿度、风速得到有效控制。不同净化等级手术室,采用智能控制,使手术室空气质量得到了极大改善,...
小学生爱眼护眼知识讲座PPT
小学生爱眼护眼知识讲座PPT眼睛的构造: 眼睛近似球形,位于眼眶内,通常我们看到的只是眼球的一面。 眼球周围有一些保护:如眼睑、睫毛、眉毛、一些软组织等等。...
