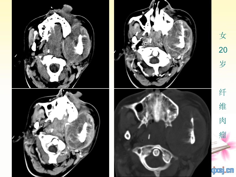
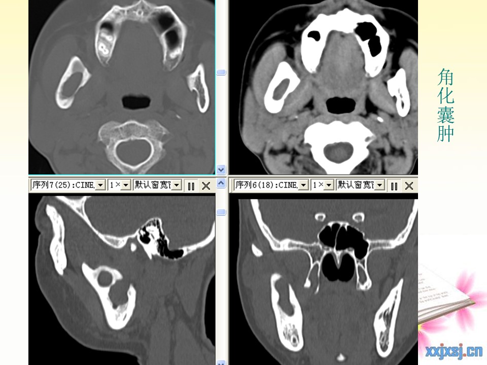
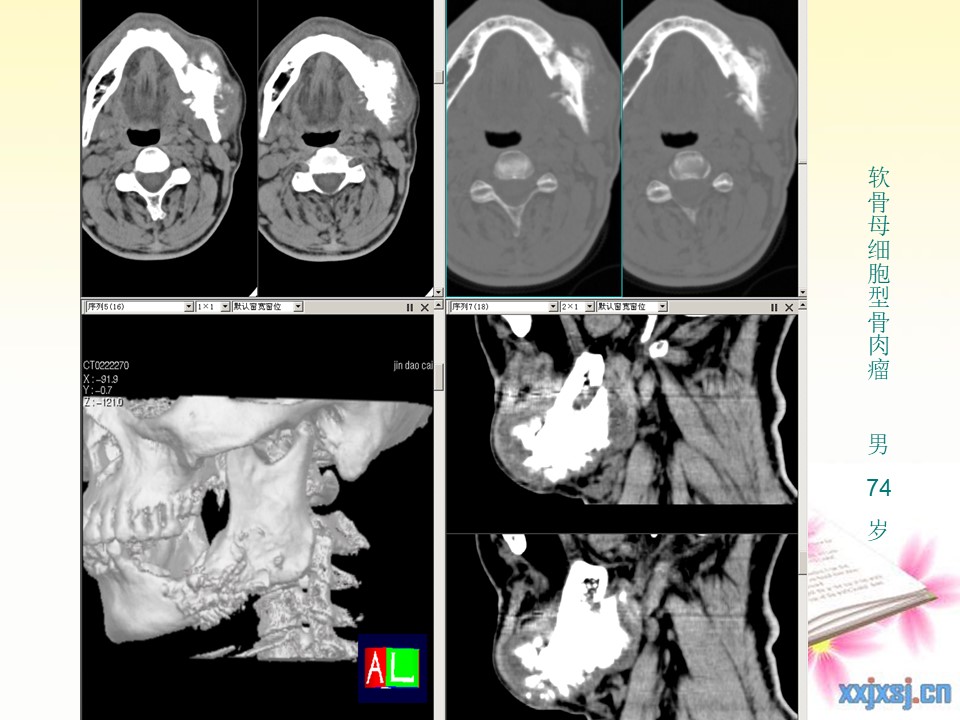
“颌骨病变的CT诊断” 的相关文章
癌痛的三阶梯治疗PPT
癌痛的三阶梯治疗PPT各位同学下午好,我是肿瘤科的苏翔宇医师,在开始今天的课程之前我想先问同学,你经历过疼痛么?我想大家一定会说,当然经历过疼痛,但你有想到过一些肿瘤患者整天被疼痛折磨的感觉么,我的一位病人曾经告诉我,那种感觉生不如死!但是随着肿瘤止痛治疗的出现,这一大部分肿瘤的患者摆脱了癌痛的折磨...
慢性肾脏病CKDPPT
慢性肾脏病CKDPPT基本功能是生成尿液,借以清除体内代谢产物及某些废物、毒物,同时经重吸收功能保留水份及其他有用物质,如:葡萄糖、蛋白质等肾脏同时还有内分泌功能,生成肾素、促红细胞生成素、活性维生素D3、前列腺素、激肽等。...
泌尿外科微创手术配合PPT
泌尿外科微创手术配合PPT物品准备常规:显示器、电脑、摄像系统、光源、3L生理盐水冲洗液、一次性冲洗器、腔镜 保护套2、脑科薄膜、一次性裤单、石蜡油、小纱布、引流袋、20ml针筒等离子电切术:电切仪、电切环、30°膀胱镜、电切九件套(27#鞘管、封堵器、陶瓷头、手柄、塑胶封...
肾内科知识汇总PPT
肾内科知识汇总PPT一、微小病变性肾病二、局灶性节段性肾小球肾炎三、弥漫性肾小球肾炎 (一)膜性肾病 (二)增生性肾炎 1、系膜增生性肾小球肾炎:IgA 肾病和非IgA 沉积为主 2、毛细血管内增生性肾小球肾炎 3、系膜毛细血管性肾小球肾炎(膜增生性肾小球肾炎Ⅰ、Ⅲ型) 4、致密沉积物性肾小...
外科创伤
外科创伤创伤有广义和狭义之分。广义指:机械、物理、化学或生物等因素造成的机体损伤狭义指:机械性致伤因素作用于机体所造成的组织结构完整性破环或功能障碍。...
外科黄疸PPT
外科黄疸PPT 指由于胆红素代谢障碍,使血清中胆红素含量增高, 并伴有皮肤、黏膜和巩膜发黄的症状和体征...
