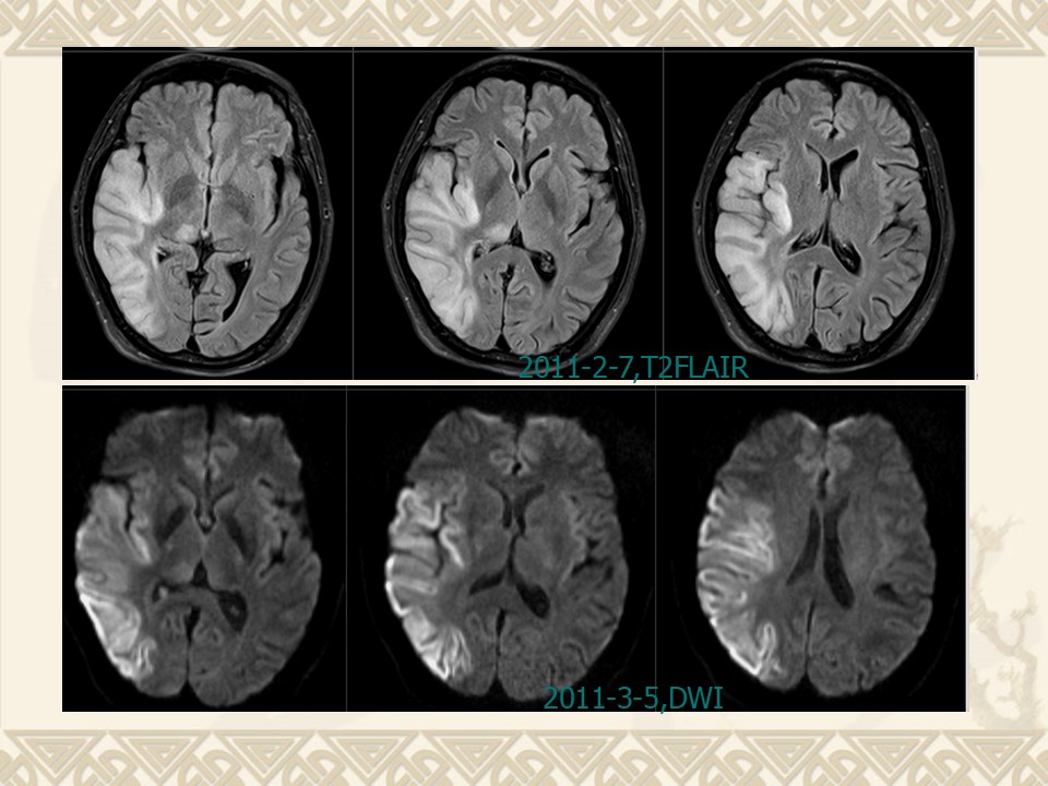
“颅脑MRI临床应用(临床实习)” 的相关文章
术中低体温的预防与护理
术中低体温的预防与护理生命体征是体温、脉搏、呼吸、血压的总称,是机体内在活动的客观反映,是衡量机体状况的指标,也是护士评估患者身心状态的基本资料。人体通过体温调节系统使产热和散热保持动态平衡,从而维持中心体温在37度。人体的温度是相对恒定的,正常人在24小时内体温略有波动。一般相差不超过1度,生理状...
慢性肾脏病CKDPPT
慢性肾脏病CKDPPT基本功能是生成尿液,借以清除体内代谢产物及某些废物、毒物,同时经重吸收功能保留水份及其他有用物质,如:葡萄糖、蛋白质等肾脏同时还有内分泌功能,生成肾素、促红细胞生成素、活性维生素D3、前列腺素、激肽等。...
评分系统在急诊中的应用
评分系统在急诊中的应用病情评分的概念和意义常用评分的分类急诊危重症识别急诊常用危重症评分介绍急诊危重症评分的选择...
嗜铬细胞瘤手术的麻醉及围术期用药的选择PPT
嗜铬细胞瘤手术的麻醉及围术期用药的选择PPT是机体嗜铬组织内生长出来的一种分泌儿茶酚胺的肿瘤,分为有功能型和无功能型嗜铬细胞瘤大部分为良性,恶性或有转移者不足10%可见于任何年龄,好发年龄为40~50岁,女性略高于男性无分泌功能的嗜铬细胞瘤多以局部肿块或压迫周围组织才被发现...
痛风患者持续达标治疗与饮食PPT
痛风患者持续达标治疗与饮食PPT痛风主要是由于高尿酸血症引起尿酸盐结晶沉积所导致的炎症性疾病。临床上最常见的痛风性关节炎。初期为急性发作,表现为红肿、灼热、稍加触碰即会引起剧烈疼痛,有些患者会出现全身的症状,像发热、头痛、寒战等。...
外科急腹症的诊断与鉴别诊断
外科急腹症的诊断与鉴别诊断据统计,腹痛就诊约占急诊人数的1/3~1/4;20%许许多多的原因导致腹痛,涉及内外妇儿多学科;起病急、发展快,如宫外孕破裂、腹主动脉夹层撕裂、胆道中毒性休克等等;引起急性腹痛的病种繁多,腹腔内各脏器紧密比邻,临床表现复杂、多变再加上不同的病人对疾病的反应和耐受情况不一致,...
