当前位置:首页 > 医护PPT > 正文内容

踝关节骨折的治疗PPT

www.yy55pp.com1年前 (2024-11-14)医护PPT262

踝关节骨折的治疗PPT

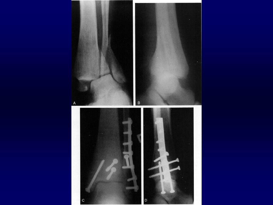
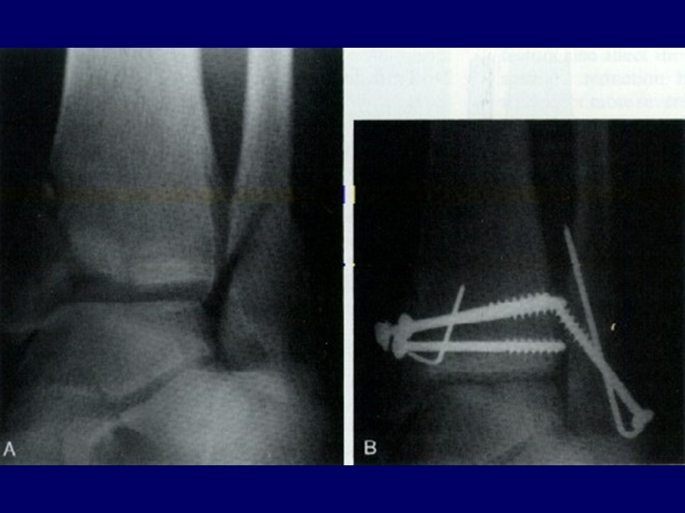
踝关节负重是 1.25-5.5 倍的体重

本身不具有很强的内在稳定性 

很薄的软组织覆盖: 皮肤和肌腱

距骨和胫骨远端有着精确的匹配

Ramsey and Hamilton: 1 毫米的外移, 胫距关节接触面积将减少42% 

踝关节骨折不包括胫骨远端骨折(Pilon)


扫描二维码推送至手机访问。

版权声明:本文由医护PPT网发布,如需转载请注明出处。

本文链接:http://yy55pp.com/post/502.html

分享给朋友:

“踝关节骨折的治疗PPT” 的相关文章

产后盆底康复治疗PPT

产后盆底康复治疗PPT

产后盆底康复治疗PPT盆底功能障碍性疾病概况妊娠分娩对盆底影响相关检查及临床诊断治疗概况...

低血糖症的诊断与急诊处理

低血糖症的诊断与急诊处理

低血糖症的诊断与急诊处理低血糖症(hypoglycemia)是指血浆葡萄糖浓度降低至<2.8mmol/L,中枢神经系统因葡萄糖缺乏所致的临床综合征...

乳糖不耐受与婴幼儿健康PPT

乳糖不耐受与婴幼儿健康PPT

乳糖不耐受与婴幼儿健康PPT             乳糖不耐受是指一部分人因肠道缺乏乳糖酶,不能很好地消化分解乳中的乳糖,导致食用乳及乳制品后出现腹胀、腹痛、恶心等消化道症状。       ...

心律失常的诊断与治疗PPT

心律失常的诊断与治疗PPT

心律失常的诊断与治疗PPT                                      &nbs...

肿瘤相关性静脉血栓栓塞症诊断与治疗PPT

肿瘤相关性静脉血栓栓塞症诊断与治疗PPT

肿瘤相关性静脉血栓栓塞症诊断与治疗PPT 静脉血栓栓塞症(VTE)是指静脉内形成血凝块,导致深静脉血栓(DVT)和/或肺栓塞(PE) 同一疾病,不同阶段、部位的两种表现形式...

PBL教学法的运用PPT

PBL教学法的运用PPT

PBL教学法的运用PPT(一)定义“基于问题的学习”(Problem-Based-Learning),是一种强调“以学生为中心”,通过把置身于结构不良的、真实的或接近真实的问题情境中,培养其建构知识、解决问题、团队合作、自主学习等能力并激发学生学习的内部动机的新教学模式。...