当前位置:首页 > 医护PPT > 正文内容

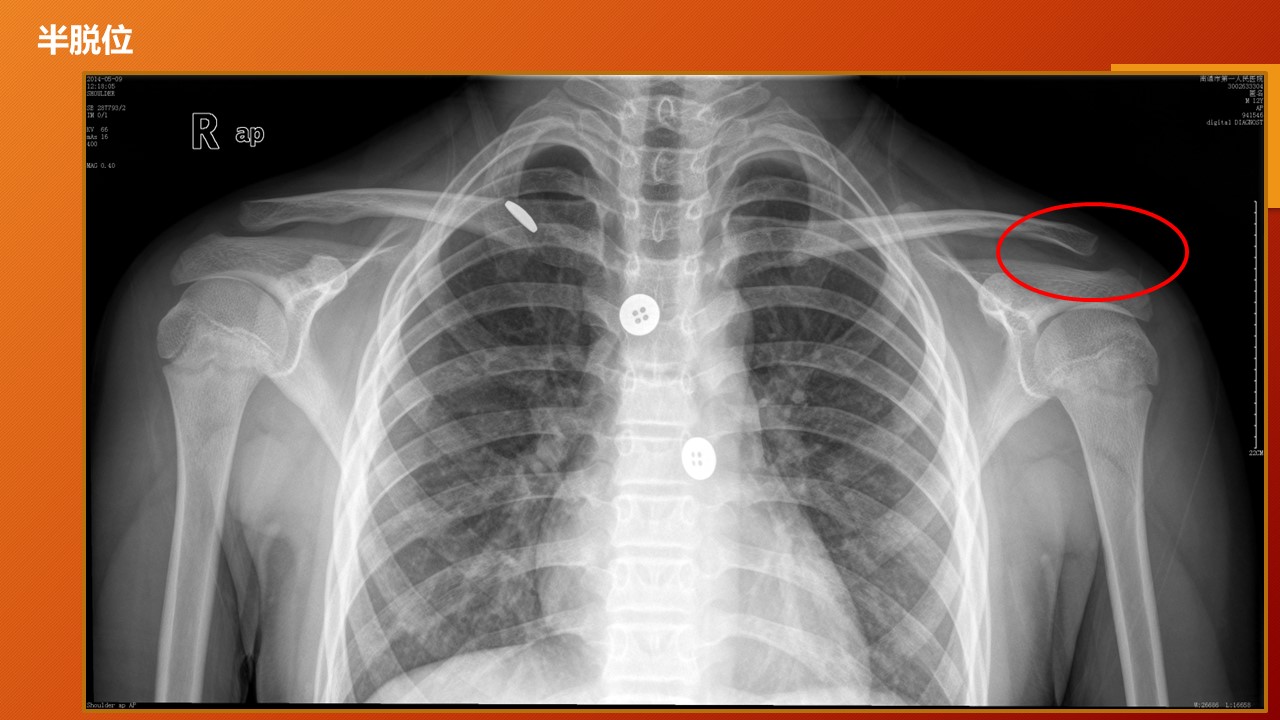
肩锁关节脱位PPT

www.yy55pp.com12个月前 (11-14)医护PPT177

肩锁关节脱位PPT

肩锁关节的构成 :

   肩胛骨的肩峰关节面、锁骨肩峰端的关节面

    肩锁韧带, 喙锁韧带,喙肩韧带

    斜方肌和三角肌的腱性部分   

    关节滑膜、纤维关节囊、20%个体含有关节软骨盘结构(增加两关节面相互的适应性)

URIST 形态分型


扫描二维码推送至手机访问。

版权声明:本文由医护PPT网发布,如需转载请注明出处。

本文链接:http://yy55pp.com/post/544.html

分享给朋友:

“肩锁关节脱位PPT” 的相关文章

妇科感染常见病原菌及检测方法PPT

妇科感染常见病原菌及检测方法PPT

妇科感染常见病原菌及检测方法PPT很多妇科感染症状、体征有很多相似之处。临床诊断本身既不敏感,也不特异。        实验室诊断可以:明确病原微生物,使治疗更具针对性;提高患者治疗依从性;使患者更有可能遵从性伴侣告知。...

泌尿外科手术配合

泌尿外科手术配合

泌尿外科手术配合泌尿外科手术器械配置泌尿外科器械的构造及故障部分仪器的安全使用常见手术的配合要点...

痛风患者持续达标治疗与饮食PPT

痛风患者持续达标治疗与饮食PPT

痛风患者持续达标治疗与饮食PPT痛风主要是由于高尿酸血症引起尿酸盐结晶沉积所导致的炎症性疾病。临床上最常见的痛风性关节炎。初期为急性发作,表现为红肿、灼热、稍加触碰即会引起剧烈疼痛,有些患者会出现全身的症状,像发热、头痛、寒战等。...

爱眼护眼保护视力PPT

爱眼护眼保护视力PPT

爱眼护眼保护视力PPT       蓝蓝的天空、白白的云朵、绿绿的草地,这些美丽的风景都需要我们用眼睛才可以看到。       我们都知道一句名言“眼睛是心灵的窗户”,眼睛还是人体中最重要的器官之一,我们所接受的外界信息...

儿科护患沟通技巧PPT

儿科护患沟通技巧PPT

儿科护患沟通技巧PPT定义:         护患沟通是护士与病人之间的信息交流和相互作用的过程。所交流的内容是与病人的护理及康复直接或间接相关的信息,同时也包括双方的思想、感情、愿望和要求等方面的交流。护患沟通是处理护患之间人际关系的主要内容,没有...

儿科急诊常用抢救技术及常见病PPT模板

儿科急诊常用抢救技术及常见病PPT模板

儿科急诊常用抢救技术及常见病PPT模板儿科解剖生理特点常用急救技术和操作心肺复苏术海氏急救法洗胃常见儿科症状及疾病惊厥重症手足口病 麻疹暴发性流行性脑脊髓膜炎 中毒性痢疾...