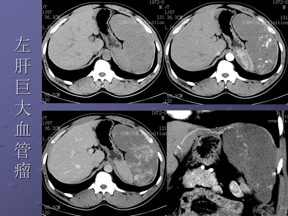
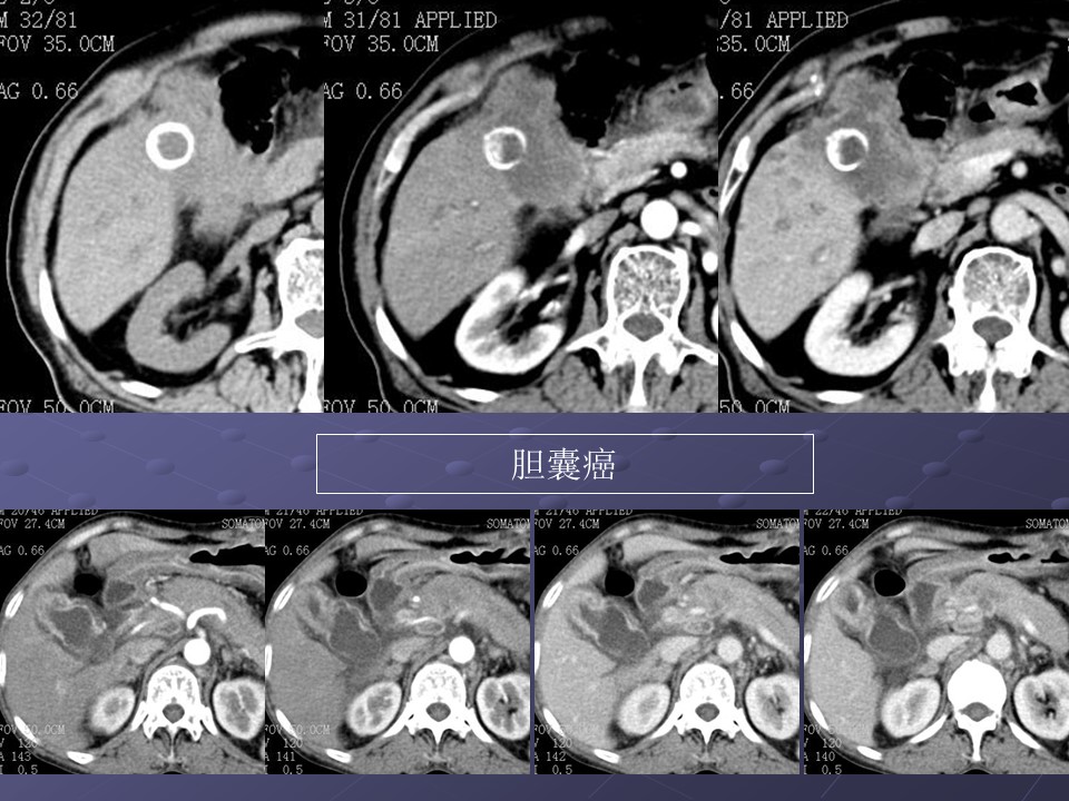
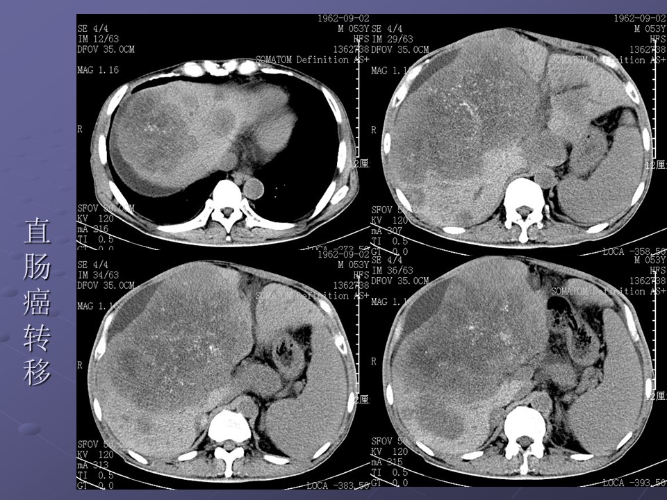
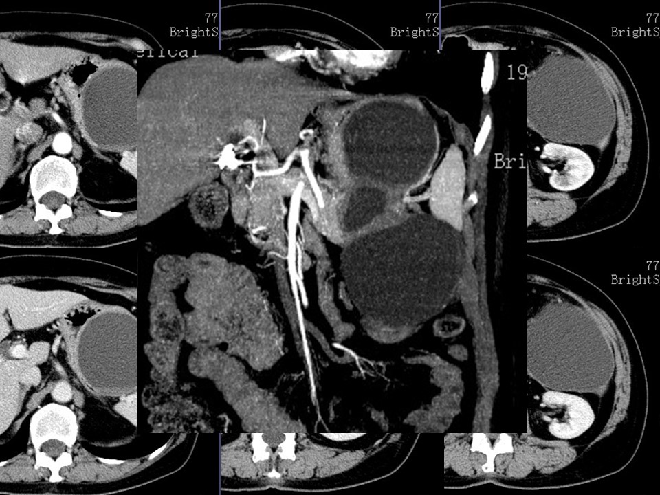
“肝胆胰脾常见病变的CT诊断PPT” 的相关文章
毒蛇咬伤的综合治疗PPT
毒蛇咬伤的综合治疗PPT毒蛇及蛇毒的概述毒蛇咬伤的综合治疗毒蛇咬伤的临床表现病 例...
腹股沟斜疝的健康教育PPT
腹股沟斜疝的健康教育PPT腹股沟疝是由腹腔内某一器官或组织连同腹壁膜,经腹壁薄弱点或孔隙向体表突出所形成。发生在腹股沟区的的腹外疝,统称为腹股沟疝。...
神外术后常见并发症及处理PPT
神外术后常见并发症及处理PPT 术后并发症导致患者死亡、致残 手术效果——不仅取决于手术操作质量,而且术后并发症处理是否得当也极为重要。...
手术室护士职业危害与防护PPT
手术室护士职业危害与防护PPT护理职业防护:在护理工作中采取多种有效措施,保护护士免受职业损伤因素的侵袭,或将其所受伤害降到最低。标准预防:认定病人的血液、体液、分泌物、排泄物均具有传染性,需进行隔离,不论是否有明显的血迹污染或是否接触非完整的皮肤与粘膜,接触上述物质者必须采取防护措施。针刺伤:指一...
手术室急危重患者的抢救与配合
手术室急危重患者的抢救与配合 手术室是外科手术治疗的一个重要科室,手术室工作的护理实施直接影响到手术病人的医疗保健水准 ;医院手术室在医院临床医疗及抢救过程中具有特殊的重要作用,因此手术室护士的急救意识在急救过程中就显得尤为重要。 ...
心理治疗知多少PPT
心理治疗知多少PPT得了抑郁症不要紧,找心理医生聊一聊,心结就都解开了…医生,我们孩子什么话都不和我们说,你跟他好好唠唠,他肯定能和你说…大夫,我们从外地来一趟不容易,你多给咱聊聊,一次就把他治好,咱就不用总跑了…...
