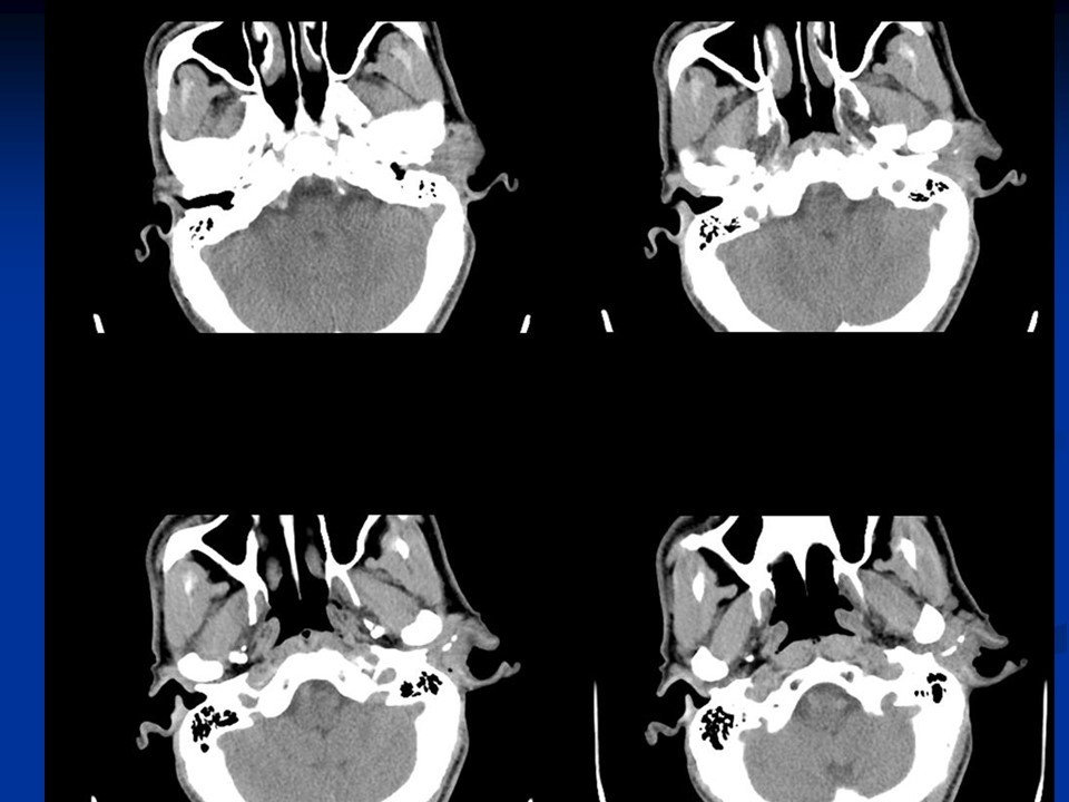
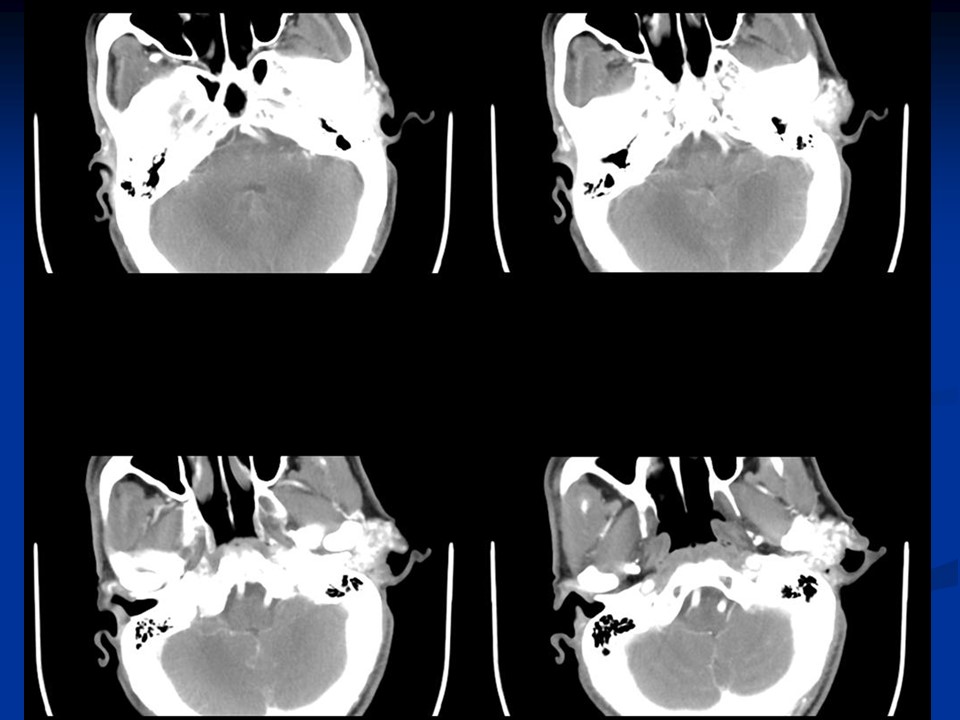
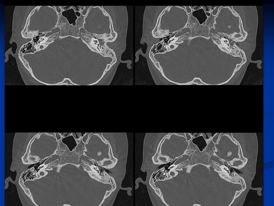
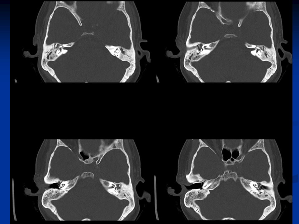
“耳部CT解剖及常见病变诊断与鉴别诊断” 的相关文章
外科急腹症的诊断与鉴别诊断
外科急腹症的诊断与鉴别诊断据统计,腹痛就诊约占急诊人数的1/3~1/4;20%许许多多的原因导致腹痛,涉及内外妇儿多学科;起病急、发展快,如宫外孕破裂、腹主动脉夹层撕裂、胆道中毒性休克等等;引起急性腹痛的病种繁多,腹腔内各脏器紧密比邻,临床表现复杂、多变再加上不同的病人对疾病的反应和耐受情况不一致,...
肿瘤免疫治疗的热点分析与冷静思考PPT
肿瘤免疫治疗的热点分析与冷静思考PPT某些类型肿瘤中,免疫细胞 (如T细胞) 存在,则临床预后较好.1–3晚期少转移征象少生存期延长复发风险下降当免疫系统受抑,某些类型肿瘤的发生风险增加.HIV患者4免疫抑制剂治疗的器官移植患者5...
PBL教学法的运用PPT
PBL教学法的运用PPT(一)定义“基于问题的学习”(Problem-Based-Learning),是一种强调“以学生为中心”,通过把置身于结构不良的、真实的或接近真实的问题情境中,培养其建构知识、解决问题、团队合作、自主学习等能力并激发学生学习的内部动机的新教学模式。...
跌倒坠床应急预案与处理流程PPT
跌倒坠床应急预案与处理流程PPT(1)保持病室、走廊、厕所、洗漱间灯光明亮及地面干燥。(2)病室床旁走道障碍清除。 (3)病床固定,将床调至适宜的高度。 ...
儿科补液实用算法与技巧PPT
儿科补液实用算法与技巧PPT儿科补液应用:围手术期禁食、胰腺炎等消化系统病变需要禁食,阑尾炎术后、肠切除术后需要禁食、各种原因导致进食不足(肠套叠、肠梗阻、急性胃肠炎) ...
儿科常见病的中医防治PPT
儿科常见病的中医防治PPT 感冒是最常见的疾病之一,老百姓常常称之谓“伤风”。中医认为,感冒是由于六淫侵犯人体而致病的。六淫指的是自然界中存在的风、寒、暑、湿、燥、火六种致病因素。其中风邪为六淫之首,是引起感冒的主要因素,故这也是古代医家将感冒称为“伤风”的原因。西医认为感冒是由病毒引起的...
